7-Keto-Cholesterol and Cholestan-3beta, 5alpha, 6beta-Triol Induce Eryptosis through Distinct Pathways Leading to NADPH Oxidase and Nitric Oxide Synthase Activation

 

Alessandro Attanzioa    Anna Frazzittaa    Antonio Cillab    Maria A. Livreaa

Luisa Tesorierea    Mario Allegraa

 

aDipartimento di Scienze e Tecnologie Biologiche, Chimiche e Farmaceutiche (STEBICEF), Università degli Studi di Palermo, Palermo, Italy, bFood Science and Nutrition Area, Faculty of Pharmacy, University of Valencia, Valencia, Spain

 

 

 

 

Key Words

Toxic oxysterols • Nitrosative stress • RBC-NOX activation • RBC-NOS activation • Eryptosis

 

Abstract

Background/Aims: We showed that patho-physiological concentrations of either 7-keto-cholesterol (7-KC), or cholestane-3beta, 5alpha, 6beta-triol (TRIOL) caused the eryptotic death of human red blood cells (RBC), strictly dependent on the early production of reactive oxygen species (ROS). The goal of the current study was to assess the contribution of the erythrocyte ROS-generating enzymes, NADPH oxidase (RBC-NOX), nitric oxide synthase (RBC-NOS) and xanthine oxido-reductase (XOR) to the oxysterol-dependent eryptosis and pertinent activation pathways. Methods: Phosphatidylserine exposure at the cell surface was estimated from annexin-V-binding, reactive oxygen/nitrogen species (RONS) and nitric oxide formation from 2’,7’-dichloro-dihydrofluorescein (DCF-DA) and 4-amino-5-methylamino-2’,7’-difluorofluorescein diacetate (DAF-FM DA) -dependent fluorescence, respectively; Akt1, phospho-NOS3 Ser1177, and PKCζ from Western blot analysis. The activity of individual 7-KC (7 μM) and TRIOL (2 μM) on ROS-generating enzymes and relevant activation pathways was assayed in the presence of Diphenylene iodonium chloride (DPI), N-nitro-L-arginine methyl ester (L-NAME), allopurinol, NSC23766 and LY294002, inhibitors in this order of RBC-NOX, RBC-NOS, XOR and upstream regulatory proteins Rac GTPase and phosphoinositide3 Kinase (PI3K); hemoglobin oxidation from spectrophotometric analysis. Results: RBC-NOX was the target of 7-KC, through a signaling including Rac GTPase and PKCζ, whereas TRIOL caused activation of RBC-NOS according to the pathway PI3K/Akt, with the concurrent activity of a Rac-GTPase. In concomitance with the TRIOL-induced .NO production, formation of methemoglobin with global loss of heme were observed, ascribable to nitrosative stress. XOR, activated after modification of the redox environment by either RBC-NOX or RBC-NOS activity, concurred to the overall oxidative/nitrosative stress by either oxysterols. When 7-KC and TRIOL were combined, they acted independently and their effect on ROS/RONS production and PS exposure appeared the result of the effects of the oxysterols on RBC-NOX and RBC-NOS. Conclusion: Eryptosis of human RBCs may be caused by either 7-KC or TRIOL by oxidative/nitrosative stress through distinct signaling cascades activating RBC-NOX and RBC-NOS, respectively, with the complementary activity of XOR; when combined, the oxysterols act independently and both concur to the final eryptotic effect.

 

 

Introduction

 

Oxysterols, long time known as products of cholesterol metabolism, attracted much interest when it was suggested their involvement in the pathogenetic mechanisms supporting inflammation-driven pathologies like cancer, atherosclerosis and neurodegenerative disorders [1-3]. Cytotoxicity of these compounds, among which 7-hydroxy-, 7-keto- cholesterol (7-KC) and cholestane-3beta, 5alpha, 6beta-triol (TRIOL) are considered among the most toxic members [4], has been reported in various cells, including smooth muscle, endothelial, monocytic, and enterocytic ones [5-10]. Oxysterols cause extensive generation of reactive oxygen species through up-regulation of NADPH oxidase (NOX) family enzymes [11], a main source of cellular ROS. In accordance, the oxysterol toxicity includes the induction of cell death (apoptosis and/or oncosis), inflammatory activities, phospholipidosis, variations of cytoplasmatic levels of calcium, mitochondrial and microsomal membrane perturbations, and polyamine metabolism [12], all conditions that share the intracellular overproduction of reactive oxidants.

Injury to circulating erythrocytes, including oxidative stress, could trigger their suicidal death or eryptosis, a process typically associated with increase of intracellular calcium, membrane scrambling, with phosphatidylserine (PS) exposure, and cell shrinkage [13]. We have recently demonstrated that a mixture of oxysterols, consistent with the oxysterol pool in the plasma of hyper-cholesterolemic subjects [14], caused eryptosis of healthy human red blood cells [15]. The oxysterol-stimulated eryptosis was strictly dependent on the early generation of reactive oxygen species and occurred even in the virtual absence of calcium [15]. Quite consistently with their reported toxicity [4], only the 7-KC and TRIOL components of the mixture had appeared individually active. Both oxysterols caused early production of reactive oxygen species, followed by prostaglandin E2 biosynthesis, calcium influx, and inhibition of the amino-phospholipid translocase (APTL). However, TRIOL only caused hemolysis, providing evidence of some additional mechanism of cell damage [15].

Due to loss of protein expression during RBC maturation, the oxysterol-triggered oxidative stress-dependent eryptosis should basically rely on either direct or indirect acute activation of enzymes that generate reactive either oxygen or nitrogen species (RONS). In addition to NOX isoforms (RBC-NOX) [16], the activity of the erythrocyte nitric oxide synthase (RBC-NOS) [17], and of xanthine oxido-reductase (XOR) [18] have to be considered. Moreover, the activity of oxysterols in red blood cells might influence the hemoglobin (HbO2) autoxidation reactions [19]. The aim of the study is investigating the extent to which the ROS-generating enzymes are involved in the eryptosis induced by patho-physiological concentrations of either 7-KC or TRIOL, as well as upstream signaling pathways leading to activation of these enzymes. The effect of the oxysterols on the hemoglobin oxidative status is also being considered. Finally, the activity of the combined oxysterols has been explored.

 

 

Materials and Methods

 

7-Ketocholesterol (7-KC) and cholestan-3β,5α,6β-triol (TRIOL) were purchased from Avanti Polar Lipids, Inc (Alabaster, AL, USA). All other reagents and chemicals were from Sigma-Aldrich Chemical Co (St. Louis, MO, USA), unless indicated.

 

Red blood cells and treatment

Blood was drawn from healthy volunteers, with informed consent, and RBCs immediately isolated by a 20 min centrifugation at 2 000 g, 4 °C, over Ficoll (Biochrom KG, Berlin, Germany). RBCs (0.4 % hematocrit) were incubated at 37°C, 5% CO2 and 95% humidity, in Ringer solution containing (mM) 125 NaCl, 5 KCl, 1 MgSO4, 32 N-2-hydroxyethylpiperazine-N-2-ethanesulfonic acid (HEPES)/NaOH, 5 glucose, 1 CaCl2, pH 7.4, for the indicated time. 7-KC and TRIOL were added in a final 0.1% (v:v) tetrahydrofuran (THF) concentration. Preliminary experiments showed that THF did not have any effect under this condition, therefore control RBCs were incubated with THF.

Where indicated, pre-treatment with NADPH oxidase inhibitor Diphenyleneiodonium (DPI, 10μM), Rac1 inhibitor [(N(6)-[2-[[4-(diethylamino)-1-methylbutyl]amino]-6-methyl-4-pyrimidinyl]-2-methyl-4,6-quinolinediamine trihydrochloride] ) (NSC23766, 500μM), NOS inhibitor Nω-Nitro-L-arginine methyl ester hydrochloride (L-NAME,100μM), phosphatidylinositol 3-kinase inhibitor (2-(4-morphlinyl)-8-phenyl-4H-1-benzopyran-4-one) (LY294002, 20μM) or L-arginine (5 mM) was done for 1 h before adding the oxysterols. Control RBCs were pre-incubated with only vehicle in these assays.

 

Measurement of phosphatidylserine (PS) externalization and forward scatter

RBCs were washed once in phosphate buffered saline, pH 7.4 (PBS) and adjusted at 1.0x106 cells/mL with combining buffer according to the manufacturer's instructions (eBioscience Inc., San Diego, CA, USA, 88-8005). Cell suspension (100 μL) was added to a new tube and incubated with 5 μL Annexin V-FITC, at room temperature in the dark for 15 min. Then samples of at least 1x104 cells were subjected to fluorescence-activated cell sorting (FACS) analysis by Epics XL™ flow cytometer, using Expo32 software (Beckman Coulter, Fullerton, CA). Cells were analyzed by forward scatter, and annexinV-fluorescence intensity was measured in fluorescence channel FL-1 with an excitation wavelength of 488 nm and an emission wavelength of 530 nm.

 

Measurement of intracellular oxidant species

The RONS or .NO levels were monitored by measuring the fluorescence changes resulting from oxidation of dichloro-dihydro-fluorescein diacetate (DCF-DA) or 4-amino-5-methylamino-2’,7’-difluorofluorescein diacetate (DAF-FM DA), respectively. Fluorescence probe, at 10 μM final concentration, was added to the cell medium 30 min before the end of treatment in the dark. Cells were collected by centrifugation (2 000 g, 4°C, 5 min), washed, suspended in PBS and subjected to FACS analysis. At least 1x104 cells were analyzed for each sample.

 

Western blot analysis

RBCs were washed with PBS twice, resuspended in lysis buffer (20 mM Tris-HCl, pH 7.6, 100 mM NaCl, 10 mM MgCl2, 2 mM PMSF, 0.5 mM DTT, 2 mg/mL Lysozyme) with protease inhibitor cocktail (Roche Applied Science, Indianapolis, IN, 11836170001) and sonicated for 60 s on ice with Labsonic LBS1-10 (Falc Instruments srl. Treviglio, BG, Italy). After centrifugation at 100 000 g for 1 h at 4°C, upper-half supernatant was collected as a cytosolic fraction. When required, the pellets were resuspended in the cold lysis buffer containing 1% Triton X-100. Samples were sonicated for 30 s and centrifuged again. The supernatant was collected as a membrane fraction.

The protein concentration of each sample was determined by using the Bradford protein assay reagent (Bio-Rad, Hercules, CA, USA). Protein samples (50 μg/line) were separated on 10% SDS-PAGE and transferred to nitrocellulose membrane. The immunoblot was incubated overnight at 4°C with blocking solution (5% skimmed milk), followed by incubation with the following monoclonal antibodies (Santa Cruz Biotechnology, Dallas, TX, USA) for 1 h at room temperature (Table 1).

Blots were washed two times with Tween 20/Tris-buffered saline and incubated with a 1:2000 dilution of horseradish peroxidase-conjugated anti-IgG antibody (Dako, Santa Clara, CA, USA) for 1 h at room temperature. Blots were again washed five times with Tween 20/Tris-buffered saline and then developed by enhanced chemiluminescence (Amersham Life Science, Little Chalfont, UK). Immunoreactions were also performed using anti-β-actin monoclonal antibody (clone C4, catalogue no. Sc-47778; Santa Cruz Biotech) as loading controls.

 

Table 1. Antibodies

 

Measurement of hemoglobin oxidation

RBCs from a 5-mL incubation mixture were collected by centrifugation, resuspended in 2 mL of hypotonic phosphate buffer (5 mM, pH 7.4), lysed by sonication as above reported and precipitated. Aliquots of supernatant in a final volume of 1.0 mL of PBS were scanned at 500–700 nm (DU-640 Beckman, Brea, CA, USA) and concentrations of the oxidation products of hemoglobin (Hb) in mixtures of HbO2, met-Hb and hemichrome were calculated according to Winterbourn [20]. To assess heme loss, the samples were then supplemented with 0.1% KCN and 0.1% K3Fe(CN)6 to convert all Hb species to a complex with CN-, which absorbs at 408 nm (Soret’s band). Heme loss was calculated by the difference in absorbance with erythrocyte incubated in the absence of oxysterol (control) and processed similarly.

 

 

Results and Discussion

 

High plasma levels of oxysterols, including the highly toxic 7-KC and TRIOL, concur to tissue damage in hypercholesterolemia. We have recently shown that both oxysterols, at the concentrations consistent with the amounts measured in hypercholesterolemic plasma, possess a remarkable eryptotic activity, strictly dependent on the early generation of oxidant species, according to a calcium-independent mechanism [15]. Presence and activity of NOX isoforms [16], endothelial-type NOS [17] and XOR [18] have been reported in human erythrocytes as a source of reactive oxygen/nitrogen species (RONS). The selective inhibition of these enzymes and of a number of activating factors upstream, matched with the exposure of RBCs to the individual 7-KC or TRIOL assayed at concentrations of patho-physiological interest (7 μM and 2 μM, respectively) [14], has been used as a strategy to investigate to what extent these enzymes are involved in the toxicity of the oxysterols in red blood cells. RONS production and PS exposure have been considered as a probe for the eryptotic activity.

 

7-KC activates RBC-NOX

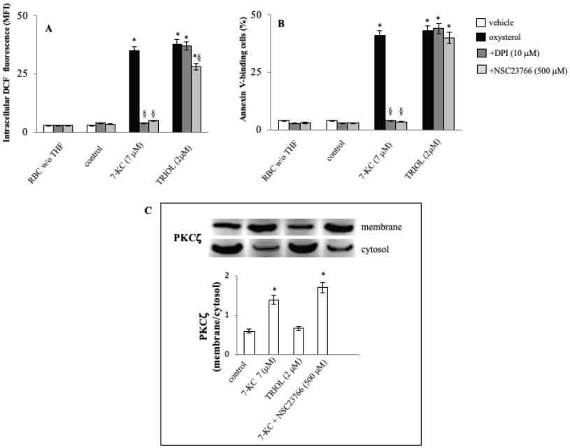
The seven NOX/DUOX family enzymes are variously distributed in cells and tissues and finely regulated. With the exception of NOX-4 and the calcium-dependent NOX-5, the trans-membrane catalytic subunits of NADPH oxidase isozymes, namely NOX -1, -2 and -3, require the interaction with cytosolic regulatory subunits, among which a Rac GTPase is a critical activator [21, 22]. The NOX activity described in human RBCs, is apparently due to the isozymes NOX-1 and NOX-5, with NOX-2 and NOX-4 minor components [16]. To investigate the role of RBC-NOX in the eryptosis triggered by 7-KC- or TRIOL, freshly isolated human erythrocytes were pre-incubated with either DPI, an inhibitor of the FAD-reducing activity of the gp91-like catalytic subunit of all NADPH oxidase isoforms, or NSC23766, a specific inhibitor of the Rac-family GTPases, before incubating with either oxysterols. We observed that the 7-KC-induced increase of both DCF-DA fluorescent oxidant species and PS exposure were completely prevented by either DPI or NSC23766, demonstrating the dependence of the 7-KC-induced eryptosis on the RBC-NOX and Rac-GTPase activity (Fig. 1A, B).

The pre-incubation of the cells with DPI did not affect the production of DCF-DA fluorescent oxidants and the subsequent PS scrambling induced by TRIOL treatment; instead, pre-incubation with NSC23766 inhibited the TRIOL-induced DCFDA-associated fluorescence by 27%, without affecting the PS exposure (Fig. 1A, B). Collectively, these results underscored the importance of a Rac-GTPase in the generation of oxidants by TRIOL, which however appeared independent of NOX.

The protein kinase C (PKC) plays a role in the activation of NOX in many cell types [23] and modulates a number of events in RBCs including membrane scrambling [24]. There is evidence that various PKC isoforms are expressed in human erythrocytes, including the atypical calcium-independent PKCζ and PKCζ [25]. The translocation from cytosol to membrane is crucial for the activation of PKC, including PKCζ [26, 27]. Western blot analysis of PKCζ in RBCs treated for 1 h with oxysterols showed that 7-KC, but not TRIOL, induced migration of the enzyme in the membrane (Fig. 1C). Therefore, in harmony with our previous study which indicated a role for atypical PKC isoform(s) in the generation of reactive species and eryptotic activity of 7-KC [15], present findings that identify PKCζ in the RBC membrane, point to the activation of this enzyme and suggest that PKCζ is part of the 7-KC-dependent signaling pathway leading to RBC-NOX activation.

The activity of Ca+2-independent PKCs, including PKCζ is regulated by interaction with protein scaffolds [26, 28]. Our and other studies [29] reporting that 7-KC activates PKCζ may be expressive of a unique location of 7-KC [30], possibly within membrane microdomains that control binding to specific scaffolds and enzyme activation. Interestingly, a membrane-active compound such as lysophosphatidic acid, that modulates the organization of lipid bilayers [31], has been shown to activate PKCζ in human red blood cells [32]. On the other hand, we observed that TRIOL, whose position in membrane bilayers is remarkably different from that of 7-KC [33, 34], did not induce activation of PKCζ (Fig. 1C).

Rac activation by either calcium-dependent or atypical PKCs has been reported in various cells in pathways other than NOX activation [35-37]. On the contrary, membrane translocation and activation of PKCζ was prevented by inhibiting Rho-GTPase [38], showing that PKCΖ can be a downstream effector of Rho-GTPase signaling pathways. To position PKCζ in the 7-KC signaling pathway, we looked at the 7-KC-stimulated activation of PKCζ in the presence of NSC23766. Pre-treatment of RBCs with the Rac inhibitor did not affect the translocation of the kinase in the membrane (Fig. 1C), indicating that the 7-KC-stimulated membrane targeting of PKCζ did not require, and occurred independently of, Rac activation. In other words, PKCζ may be positioned upstream or in parallel to Rac in the 7-KC-stimulated signaling leading to RBC-NOX activation. A RBC-NOX activation pathway where a Rac protein is activated by a calcium-dependent PKC has been suggested to be working in sickle cells [16]. It is tempting to speculate that atypical PKCs such as PKCζ may perform an equivalent function in regulating Rac where intracellular calcium is not critical for activation.

 

Fig. 1. 7-Ketocholesterol activates RBC-NOX through PKCz-RacGTPase signaling pathway. Effect of NOX inhibitor DPI or Rac GTP specific inhibitor NSC23766 on the oxysterol-induced RONS formation (A), PS-externalization (B), and PKCz translocation to membrane (C). RBCs were pre-incubated for 1h with inhibitor or vehicle before adding the oxysterol. RBCs were lysed after 1 h of incubation for Western blot detection of PKCz, while were left to incubate for 2 h or 24 h before the cytofluorimetric measure of DCF-associated MFI (mean fluorescence intensity) and AnnexinV-FITC associated cell fluorescence, respectively. Data are the means±SD of six (A and B) or three (C) separate experiments with a representative image. *Significantly different vs control (P<0.0001); § significantly different vs samples of the relevant group pre-incubated in the absence of inhibitor (P<0.0001) (one-way Anova associated with Bonferroni's post hoc test).

 

TRIOL activates RBC-NOS

Red blood cells express a functional nitric oxide synthase, isoform 3, localized on the cytoplasmic side of the RBC membrane [17]. To study the involvement of RBC-NOS in the oxysterol-induced eryptosis, RBCs were pre-incubated with either L-NAME or L-arginine, a NOS inhibitor and activator, respectively. Neither L-NAME nor L-arginine significantly varied the DCF-DA associated-fluorescence and the extent of PS exposure induced by 7-KC (Fig. 2A, B), indicating that RBC-NOS was not involved with the 7-KC activity. By contrast, pre-incubation with L-NAME abrogated the TRIOL-induced RONS production and PS exposure, whereas pre-incubation with L-arginine caused overproduction of RONS and increased the eryptotic activity of the oxysterol (Fig. 2A, B). Moreover, when RBCs were loaded with DAF-FM diacetate, a probe for intracellular .NO, fluorescent signals through flow cytometry were detected solely in the TRIOL-treated RBCs (Fig. 2C).

RBC-NOS may be controlled by interactions with regulatory proteins and phosphorylation of various serine, threonine and tyrosine residues [17, 39, 40]. In particular, the enzyme is activated by phosphorylation of its Ser1177 by Akt, the activation of which is mediated by PI3K [17, 40]. The phosphorylation degree of Akt (pAkt) and RBC-NOS (p-NOS1177) were assessed by immunoblot analysis after a 1 h treatment of RBCs with the oxysterols. In comparison with untreated RBCs (control), the incubation in the presence of TRIOL resulted in a net increment of both pAkt and p-NOS1177 (Fig. 2D). Moreover, LY294002, a specific PI3K inhibitor, completely prevented the TRIOL-induced phosphorylation of Akt and RBC-NOS (Fig. 2D), as further indication of the functional association between TRIOL and the PI3K/Akt signaling axis. Consistently with the above-reported findings (Fig. 2A, B), 7-KC did not promote phosphorylation of neither enzyme (Fig. 2D).

We observed that the PI3K inhibitor LY294002, caused a significant reduction but did not abrogate the DAF-FM fluorescence associated with RBCs treated with TRIOL (Fig. 3), which suggested a parallel activation pathway for RBC-NOS. The simultaneous use of LY294002 and the Rac inhibitor NSC23766 completely prevented the appearance of the DAF-FM fluorescence associated with TRIOL-treated RBCs (Fig. 3), providing evidence of a dual regulation of the enzyme. Therefore, consistent with the complementary experiments described in Fig. 1 (A, B), these findings show that a Rac protein is involved in the TRIOL-induced RBC-NOS activation and .NO production in the erythrocytes. The PI3K /Akt dependent activation of eNOS in response to TRIOL has been shown in endothelial cells [41]. We report here for the first time that TRIOL stimulates phosphorylation and activation of both Akt and RBC-NOS in a PI3K-dependent manner in red blood cells, and that a Rac-GTPase contributes to the whole TRIOL-dependent RBC-NOS activation.

The production of .NO in the presence of the PI3K inhibitor suggests that the TRIOL-stimulated Rac-GTPase activates a non-phosphorylated RBC-NOS. In line with our findings, other studies reported that physical interactions between NOX-coupled Rac-GTPases and various NOS isoforms result in enzyme activation [42-45]. Co-regulation of the constitutive NOS and NOX by the GTPase Rac-1 has been shown in endothelial cells [46]. In apparent contrast with this finding, we found that the erythrocytes exposed to 7-KC did not generate reactive species when pre-incubated with DPI, a NOX inhibitor working downstream of Rac activation, suggesting that the 7-KC-activated Rac- GTPase had not stimulated the activity of RBC-NOS. Alternatively, chemico-physical changes to the RBC membrane imposed by 7-KC, but not TRIOL [30, 34], may have prevented interactions between the same Rac-GTPase and RBC-NOS. That the Rac-1 activity may be regulated by shear stress and variations of the membrane fluidity [47, 48] could provide some support to this hypothesis.

 

Fig. 2. TRIOL activates RBC-NOS through PI3P kinase-Akt signaling axis. Effect of NOS inhibitor L-NAME or activator L-arginine on the oxysterol-induced RONS formation (A) and PS-externalization (B). Arithmetic means±SD (n=6) of DCF-associated MFI (mean fluorescence intensity) and AnnexinV-FITC associated cell fluorescence measured after a 2 h or 24 h incubation, respectively, incubation of RBCs with oxysterol, preceded by 1 h pre-treatment in the presence of inhibitor, stimulant or vehicle. (C) DAF-FM associated fluorescence in RBCs treated with oxysterols. RBCs were loaded with DAF-FM diacetate and incubated for 2 h in the absence (control) or in the presence of oxysterols. Imagine representative of three separate experiments carried out in duplicate with comparable results. (D) Western blot analysis with densitometric analysis of proteins from RBCs incubated for 1h with vehicle (control) or oxysterols (columns 2,4) or pre-treated for 1 h with LY294002 before 1 h incubation with TRIOL (column 3). b-actin was used as the internal control. Imagine representative of four separate experiments. *Significantly different vs control (P<0.0001); § significantly different vs samples of the relevant group pre-incubated in the absence of inhibitor (P<0.0001) (one-way Anova associated with Bonferroni's post test).

Fig. 3. Simultaneous inhibition of PI3P kinase and Rac GTPase abrogates the TRIOL-induced NO. formation in RBCs. DAF-FM associated cell fluorescence measured after a 2 h incubation of RBCs with TRIOL (2 µM) preceded by 1 h pre-treatment in the absence or in the presence of LY294002 (20 µM) or LY294002 (20 µM) plus NSC23766 (500 µM). Imagine representative of three separate experiments carried out in duplicate with comparable results.

 

TRIOL causes Hb oxidation and loss of heme

The continuous autoxidation of HbO2 to generate Met-Hb and O2.- is the most abundant source of reactive species in red blood cells, controlled by superoxide dismutase (SOD) and specific reductases [49]. We investigated whether either 7-KC or TRIOL affected the Hb autoxidation. Spectral changes at 560, 577 and 630 nm were analyzed to assess the oxidation status of hemoglobin in RBCs incubated either in the absence (control) or in the presence of oxysterols. Table 2 reports the levels of HbO2, MetHb and hemichrome, as well as the amount of heme, measured in the cells after a 24 h incubation in the presence of either 7-KC or TRIOL. 7-KC did not modify the total amount nor the oxidation status of hemoglobin with respect to control RBCs. TRIOL, instead, caused spectral changes indicating a significant decrease of HbO2 with a concomitant increase of MetHb (Table 2). Formation of hemichrome was not evident, whereas a loss of heme was observed after TRIOL incubation (Table 2), a finding consistent with the reported hemolytic effect of this oxysterol [15]. While showing that 7-KC did not induce changes to the redox equilibrium of Hb, these findings suggested the involvement of RBC-NOS-derived oxidants.

The human RBC-NOS is almost inactive under physiological conditions [50]. Fluctuating and reversible activation of the enzyme by physiological stimuli such as an increase of shear stress, can cause release of moderate amounts of .NO [50, 51] supposed escaping irreversible dioxygenation reaction with HbO2, and being of patho-physiological relevance for cardiovascular protection [50]. Interestingly, small amounts of .NO prevents, whereas excess stimulate eryptosis [52]. Indeed, a quite different scenery can be established as a result of .NO over-production. .NO may prompt Hb autoxidation by combining spontaneously with O2.- at diffusion-controlled rate, even in the presence of SOD [49, 53]. This in turn causes increase of MetHb and generates peroxynitrite [50], a powerful oxidant and nitrating agent [54], whose activity can finally support the eryptosis. The amino-phospholipid translocase, whose inhibition has appeared a key event in the oxysterol-triggered PS exposure [15], is inhibited by products from cellular oxidation such as lipoperoxides [15, 55] and by nitrosative stress [56]. In addition, oxy- deoxy- and met-Hb can effectively scavenge .NO as well as peroxynitrite [57-59], with formation of nitrosylated and oxidized species and final accumulation of met-Hb [58, 60]. Finally, .NO overproduction and damage to membrane proteins may account for the observed loss of heme. Peroxynitrite-induced hemolysis of human red blood cells has been reported [61] and shear stress, which is known to activate RBC-NOS [62], results in hemolysis when cells are exposed to repeated and supra-physiological shear stress conditions [63].

 

Table 2. Oxidation status of hemoglobin (Hb) and heme content in oxysterol-treated RBCs. Values are the mean±SD of five separate experiments. Means in the same column with different superscript

 

7-KC, TRIOL and XOR

The pre-incubation of red blood cells with the inhibitor allopurinol significantly reduced by 20% the DCF-DA associated-fluorescence caused by treatment with 7-KC or TRIOL, indicating some contribution of the xanthine oxido-reductase to the activity of either oxysterols (Fig. 4). The observation that the 7-KC- or TRIOL- dependent production of reactive species did not occur in the presence of DPI or L-Name, respectively, implicated that only RBC-NOX and RBC-NOS were activated by the oxysterols. These data that unmasked the contribution of the XOR to the overall generation of oxidative stress show that, under our conditions, the activity of XOR is subordinate to the activity of either RBC-NOX or RBC-NOS. Our evidence suggests that oxidants from either enzyme activity can promote the conversion of the NAD-reducing xanthine-dehydrogenase in the O2-reducing -oxidase, thus generating superoxide anion and hydrogen peroxide [64, 65].

 

Fig. 4. Inhibition of XOR by allopurinol partially inhibits RONS production triggered by both7-KC and TRIOL. DCF-DA associated cell fluorescence measured after a 2 h incubation of RBCs with TRIOL or 7-KC preceded by 1 h pre-treatment in the absence or in the presence of allopurinol (500 µM). Imagine representative of three separate experiments carried out in duplicate with comparable results.

 

The combination of 7-KC and TRIOL brings about concurrent activation of RBC-NOX and RBC-NOS

The circulating oxysterols may be supposed to act simultaneously on red blood cells. This prompted us to assess whether and/or to what extent the oxysterol toxicity, in terms of ROS/RONS production and eryptotic response changed when patho-physiological amounts of 7-KC and TRIOL acted in combination, with respect to the individual compounds. Measurements were then performed in the presence of both oxysterols, without or with pre-incubation of the erythrocytes with either DPI or L-NAME. The generation of DCF-DA fluorescent oxidant species observed in cells treated with 7-KC and TRIOL was significantly higher than that measured in the presence of the individual oxysterols, whereas .NO formation was consistent with that observed in the presence of TRIOL alone (Fig. 5). In comparison with erythrocytes incubated with both 7-KC and TRIOL, the pre-incubation of the cells with L-NAME remarkably inhibited the DCF-DA fluorescence by 38%, and abolished .NO production, whereas pre-incubation with DPI resulted in a decrease of DCF-DA fluorescent oxidants of over 30%, however the .NO formed was unmodified (Fig. 5). Finally, pre-incubation with both inhibitors completely abolished the generation of DCF-DA fluorescent oxidant species and .NO (Fig. 5). These findings showed that, under the considered conditions, RBC-NOX and RBC-NOS can be activated simultaneously and independently by the combined 7-KC and TRIOL.

The number of Annexin V-binding cells after incubation with 7-KC and TRIOL was significantly higher than measured in the presence of the single oxysterols; in addition, the amount of PS exposed to the surface of the erythrocytes treated with both oxysterols was reduced by 30% and 32% by the pre-incubation with either L-NAME or DPI, respectively, and was annulled by the concurrent presence of the inhibitors (Fig. 5).

Therefore, according to our data, 7-KC and TRIOL do not interfere each other in causing activation of RBC-NOX and RBC-NOS, respectively, and production of ROS/RONS. As a result of their combination, DCF-DA fluorescent compounds appear to be generated to an approximately equivalent extent by the activity of RBC-NOX and RBC-NOS. Then the oxidative stress and the eryptotic response resulting from the combined action of 7-KC and TRIOL in red blood cells may be considered as the consequence of the effect of both oxysterols on RBC-NOX and RBC-NOS. These results extend our previous studies regarding eryptosis in red blood cells exposed to a mixture of oxysterols, including 7-KC and TRIOL, or incubated with healthy human blood spiked with the mixture, to simulate a patho-physiologic condition of hypercholesterolemia [15]. In this context our findings concur to explain the increase in eryptosis recently reported in dyslipidemic patients [66].

 

Fig. 5. Combination of 7-KC and TRIOL induces independent activation of RBC-NOX and RBC-NOS. Measurements of DAF-FM or DCF associated cell fluorescence ( grey and white columns, respectively) and PS externalization (black columns) were performed after a 2 h and 24h incubation, respectively, in RBCs treated with TRIOL (2 µM) or 7-KC (7 µM) or both preceded by 1 h pre-treatment in the absence or in the presence of DPI or L-NAME or both. Values are the mean ±SD of three separate experiments carried out in duplicate. Within homologue determinations, values with different letters are significantly different (P<0.0001) (one-way Anova associated with Bonferroni's post test).

 

 

Conclusion

 

Our study shows that patho-physiological amounts of either 7-KC or TRIOL induce oxidative stress-dependent eryptosis by different mechanisms and distinct molecular pathways. The 7-KC activity is mediated by RBC-NOX activation, dependent on Rac-GTPase- and PKCζ, whereas that of TRIOL by RBC-NOS through the PI3K/Akt pathway, with the additional stimulation of the enzyme by a Rac-GTPase. A complementary activity of XOR is common to the full effect of both oxysterols. The TRIOL-induced nitrosative stress may rationalize Hb oxidation with MetHb accumulation, and possibly membrane damage with heme loss. Concurrent activity of RBC-NOX and RBC-NOS, and ROS/RONS production, can bring about eryptosis when 7-KC and TRIOL act in combination, as can occur in hypercholesterolemia.

Oxysterols are acknowledged to induce ROS generation by up-regulating NADPH oxidase, our findings show direct enzyme activation through tightly coupled molecular events at the level of plasma membrane. Many of the biological activities of oxysterols may be based on their biophysical properties and interaction with membrane lipid and/or protein components [33, 34]. In this context, with the present knowledge that RBC-NOX and RBC-NOS can be activated by physical and mechanical forces on the membrane [62, 67, 68] it is quite reasonable to hypothesize that 7-KC and TRIOL cause activation of these enzymes through physico-chemical alterations of the membrane moiety. Functional organization of the two oxysterols and their effectors at different membrane micro-domains [34] may be essential to activate separately RBC-NOX and RBC-NOS [69-71]. However, the molecular mechanism(s) that allow 7-KC and TRIOL, either alone or in combination, a selective activation of specific proteins of distinct signaling-pathways in red blood cells remain open to future studies.

 

 

Acknowledgements

 

This project was supported by a 2014–2020 PON Ricerca e Innovazione grant from the Italian Ministry of Education, University and Research, entitled “PROGEMA - Processi Green per l'Estrazione di Principi Attivi e la Depurazione di Matrici di Scarto e Non” (ARS01_00432) to P.C.

This study complied with the guidelines for human studies and was conducted ethically in accordance with the World Medical Association Declaration of Helsinki. The subjects involved in the study have given their written informed consent.

 

 

Disclosure Statement

 

The authors have no conflicts of interest to declare.

 

 

References

 

1 Sottero B, Gamba P, Gargiulo S, Leonarduzzi G, Poli G: Cholesterol oxidation products and disease: An emerging topic of interest in medicinal chemistry. Curr Med Chem 2009;16:685-705.
https://doi.org/10.2174/092986709787458353

 

2 Zarrouk A, Vejux A, Mackrill J, O'Callaghan Y, Hammami M, O'Brien N, Lizard G: Involvement of oxysterols in age-related diseases. Ageing Res Rev 2014;18:148-162.
https://doi.org/10.1016/j.arr.2014.09.006

 

3 Poli G, Biasi F, Leonarduzzi G: Oxysterols in the pathogenesis of major chronic diseases. Redox Biol 2013;1:125-130.
https://doi.org/10.1016/j.redox.2012.12.001

 

4 Ryan E, Chopra J, McCarthy F, Maguire AR, O'Brien NM: Qualitative and quantitative comparison of the cytotoxic and apoptotic potential of phytosterol oxidation products with their corresponding cholesterol oxidation products. Br J Nutr 2005;94:443-451.
https://doi.org/10.1079/BJN20051500

 

5 Nishio E, Watanabe Y: Oxysterols induced apoptosis in cultured smooth muscle cells through CPP32 protease activation and bcl-2 protein downregulation. Biochem Biophys Res Commun 1996;226:928-934.
https://doi.org/10.1006/bbrc.1996.1452

 

6 Lemaire S, Lizard G, Monier S, Miguet C, Gueldry S, Volot F, Gambert P, Neel D: Different patterns of IL-1beta secretion, adhesion molecule expression and apoptosis induction in human endothelial cells treated with 7alpha-, 7beta-hydroxycholesterol, or 7-ketocholesterol. FEBS Lett 1998;440:434-439.
https://doi.org/10.1016/S0014-5793(98)01496-3

 

7 Aupeix K, Weltin V, Mejia JE, Christ M, Marchal J, Freyssinet JM, Bischoff P: Oxysterols-induced apoptosis in human monocytic cell lines. Immunobiology 1995;194:415-428.
https://doi.org/10.1016/S0171-2985(11)80108-7

 

8 O'Callaghan YC, Woods JA, O'Brien NM: Oxysterol-induced cell death in U937 and HepG2 cells at reduced and normal serum concentrations Eur J Nutr 1999;38:255-262.
https://doi.org/10.1007/s003940050075

 

9 Mascia C, Maina M, Chiarpotto E, Leonarduzzi G, Poli G, Biasi F: Pro-inflammatory effect of cholesterol and its oxidation products on CaCo-2 human enterocyte-like cells: Effective protection by epigallocatechin-3-gallate. Free Radic Biol Med 2010;49:2049-2057.
https://doi.org/10.1016/j.freeradbiomed.2010.09.033

 

10 Biasi F, Chiarpotto E, Sottero B, Maina M, Mascia C, Guina T, Gamba P, Gargiulo S, Testa G, Leonarduzzi G, Poli G: Evidence of cell damage induced by major components of a diet-compatible mixture of oxysterols in human colon cancer CaCo-2 cell line. Biochimie 2013;95:632-640.
https://doi.org/10.1016/j.biochi.2012.10.011

 

11 Poli G, Leonarduzzi G, Biasi F, Chiarpotto E: Oxidative stress and cell signaling. Curr Med Chem 2004;11:1163-1182.
https://doi.org/10.2174/0929867043365323

 

12 Vejux A, Lizard G: Cytotoxic effects of oxysterols associated with human diseases: Induction of cell death (apoptosis and/or oncosis), oxidative and inflammatory activities, and phospholipidosis. Mol Aspects Med 2009;30:153-170.
https://doi.org/10.1016/j.mam.2009.02.006

 

13 Lang F, Abed M, Lang E, Foller M: Oxidative stress and suicidal erythrocyte death. Antiox Redox Signal 2014;21:138-153.
https://doi.org/10.1089/ars.2013.5747

 

14 Sevanian A, Seraglia R, Traldi P, Rossato P, Ursini F, Hodis H: Analysis of plasma cholesterol oxidation products using gas- and high performance liquid chromatography/mass spectrometry. Free Radic Biol Med 1994;17:397-409.
https://doi.org/10.1016/0891-5849(94)90166-X

 

15 Tesoriere L, Attanzio A, Allegra M, Cilla A, Gentile C, Livrea MA: Oxysterol mixture in hypercholesterolemia-relevant proportion causes oxidative stress-dependent eryptosis. Cell Physiol Biochem 2014;34:1075-1089.
https://doi.org/10.1159/000366322

 

16 George A, Pushkaran S, Diamantis G, Kostantinidis G, Koochaki S, Malik P, Mohandas N, Zheng Y, Joiner CH, Kalfa TA: Erythrocyte NADPH oxidase activity modulated by Rac GTPases, PKC, and plasma cytokines contributes to oxidative stress in sickle cell disease. Blood 2013;121:2099-2107.
https://doi.org/10.1182/blood-2012-07-441188

 

17 Kleinbongard P, Schulz R, Rassaf T, Lauer T, Dejam A, Jax T, Kumara I, Gharini P, Kabanova S, Ozüyaman B, Schnürch HG, Gödecke A, Weber AA, Robenek M, Robenek H, Bloch W, Rösen P, Kelm M: Red blood cells express a functional endothelial nitric oxide synthase. Blood 2006;107:2943-2951.
https://doi.org/10.1182/blood-2005-10-3992

 

18 Webb A, Milsom AB, Rathod KS, Chu WL, Qureshi S, Lovell MJ, Lecomte FMJ, Perrett D, Raimondo C, Khoshbin E, Ahmed Z, Uppal R, Benjamin N, Hobbs A, Ahluwalia A: Mechanisms underlying erythrocyte and endothelial nitrite reduction to nitric oxide in hypoxia. Role for xanthine oxidoreductase and endothelial nitric oxide synthase. Circulation Res 2008;103:957-964.
https://doi.org/10.1161/CIRCRESAHA.108.175810

 

19 Rifkind JM, Nagababu E: Hemoglobin Redox Reactions and Red Blood Cell Aging. Antioxid Redox Signal 2013;18:2274-2283.
https://doi.org/10.1089/ars.2012.4867

 

20 Winterbourne C: Oxidative reactions of hemoglobin. Methods Enzymol 1990;186:265-272.
https://doi.org/10.1016/0076-6879(90)86118-F

 

21 Brandes RP, Weissmann N, Schröder K: Nox family NADPH oxidases: Molecular mechanisms of activation. Free Radical Biol Med 2014;76:208-226.
https://doi.org/10.1016/j.freeradbiomed.2014.07.046

 

22 Pick E: Role of the Rho GTPase Rac in the activation of the phagocyte NADPH oxidase. Outsourcing a key task. Small GTPases 2014;5:e27952.
https://doi.org/10.4161/sgtp.27952

 

23 Schroder K, Weissmann N, Brandes RP: Organizers and activators: Cytosolic Nox proteins impacting on vascular function. Free Radic Biol Med 2017;109:22-32.
https://doi.org/10.1016/j.freeradbiomed.2017.03.017

 

24 de Jong K, Rettig MP, Low PS, Kuypers FA: Protein kinase C activation induces phosphatidylserine exposure on red blood cells. Biochemistry 2002;41:12562-2567.
https://doi.org/10.1021/bi025882o

 

25 Govekar, RB, Zinged SM: Protein kinase C isoforms in human erythrocytes. Ann Hematol 2001;80:531-534.
https://doi.org/10.1007/s002770100352

 

26 Fox TE, Houck KL, O'Neill SM, Nagarajan M, Stover TC, Pomianowski PT, Unal O, Yun JK, Naides SJ, Kester M: Ceramide recruits and activates PKCζ within structured membrane microdomains. J Biol Chem 2007;285:12450-12457.
https://doi.org/10.1074/jbc.M700082200

 

27 Hirai T, Chida K: Protein kinase Czeta (PKCzeta): activation mechanisms and cellular functions. J Biochem (Tokyo) 2003;133:1-7.
https://doi.org/10.1093/jb/mvg017

 

28 Tobias I, Newton AC: Protein scaffolds control localized protein kinase Czeta activity. J Biol Chem 2016;291:13809-13822.
https://doi.org/10.1074/jbc.M116.729483

 

29 Larrayoz IM, Huang JD, Lee JW, Pascual I, Rodriguez IR: 7-Ketocholesterol-Induced Inflammation: Involvement of Multiple Kinase Signaling Pathways via NFκB but Independently of Reactive Oxygen Species Formation. Invest Ophtalm Vis Sci 2010;51:4942-4955.
https://doi.org/10.1167/iovs.09-4854

 

30 Massey JB, Pownall HJ: Structures of biologically active oxysterols determine their differential effects on phospholipid membranes. Biochemistry 2006;45:10747-10758.
https://doi.org/10.1021/bi060540u

 

31 Kooijman EE, Chupin V, de Kruijff B, Burger KN: Modulation of membrane curvature by phosphatidic acid and lysophosphatidic acid. Traffic 2003;4:162-174.
https://doi.org/10.1034/j.1600-0854.2003.00086.x

 

32 Chung SM, Bae ON, Lim KM, Noh JY, Lee MY, Jung YS, Chung JH: Lysophosphatidic acid induces thrombogenic activity through phosphatidylserine exposure and procoagulant microvesicle generation in human erythrocytes. Arterioscler Thromb Vasc Biol 2007;27:414-421.
https://doi.org/10.1161/01.ATV.0000252898.48084.6a

 

33 Massey JB: Membrane and protein interactions of oxysterols: Curr Opin Lipidol 2006;17:296-301.
https://doi.org/10.1097/01.mol.0000226123.17629.ab

 

34 Olkkonen VM, and Hynynen R: Interactions of oxysterols with membranes and proteins. Mol Aspects Med 2009;30:123-133.
https://doi.org/10.1016/j.mam.2009.02.004

 

35 Elfenbein A, Rhodes JM, Meller J, Schwartz MA, Matsuda M, Simons M: Suppression of RhoG activity is mediated by a syndecan 4-synectin-RhoGDI1 complex and is reversed by PKCalpha in a Rac1 activation pathway. J Cell Biol 2009;186:75-83.
https://doi.org/10.1083/jcb.200810179

 

36 Price LS, Langeslag M, ten Klooster JP, Hordijk PL, Jalink K, Collard JG: Calcium signaling regulates translocation and activation of Rac. J Biol Chem 2003;278:39413-39421.
https://doi.org/10.1074/jbc.M302083200

 

37 Zhang J Anastasiadis PZ, Liu Y, Thompson A, Fields AP: Protein Kinase C (PKC) βII Induces Cell Invasion through a Ras/Mek-, PKCι/Rac 1-dependent Signaling Pathway. J Biol Chem 2004;279:22118-22123.
https://doi.org/10.1074/jbc.M400774200

 

38 Laudanna C, Mochly-Rosen D, Liron T, Constantin G, Butcher EC: Evidence of zeta protein kinase C involvement in polymorphonuclear neutrophil integrin-dependent adhesion and chemotaxis. J Biol Chem 1998;273:30306-30315.
https://doi.org/10.1074/jbc.273.46.30306

 

39 Fleming I: Molecular mechanisms underlying the activation of eNOS Eur J Physiol 2010;459:793-806.
https://doi.org/10.1007/s00424-009-0767-7

 

40 Mihov D, Vogel J, Gassmann M, Bogdanova A: Erythropoietin activates nitric oxide synthase in murine erythrocytes AJP Cell Physiology 2009;297:C378-388.
https://doi.org/10.1152/ajpcell.00543.2008

 

41 Liao PL, Cheng YW, Li CH, Lo YL, Kang JJ: Cholesterol-3-beta, 5-alpha, 6-beta-triol induced PI(3)K-Akt-eNOS-dependent cyclooxygenase-2 expression in endothelial cells. Toxicol Lett 2009;190:172-178.
https://doi.org/10.1016/j.toxlet.2009.07.012

 

42 Sawada N, Salomone S, Kim HH, Kwiatkowski DJ, Liao JK: Regulation of endothelial nitric oxide synthase and postnatal angiogenesis by Rac1. Circ Res 2008;103:360-368.
https://doi.org/10.1161/CIRCRESAHA.108.178897

 

43 Rao GK, Bender JR: Rac, PAK, and eNOS action. Circ Res 2008;103:328-330.
https://doi.org/10.1161/CIRCRESAHA.108.182238

 

44 Jyoti A, Singh AK, Dubey M, Kumar S, Saluja R, Keshari RS, Verma A, Chandra T, Kumar A, Bajpai VK, Barthwal MK, Dikshit M: Interaction of Inducible Nitric Oxide Synthase with Rac2 Regulates Reactive Oxygen and Nitrogen Species Generation in the Human Neutrophil Phagosomes: Implication in Microbial Killing. Antioxid Redox Signal 2014;20:417-431.
https://doi.org/10.1089/ars.2012.4970

 

45 Kuncewicz T, Balakrishnan P, Snuggs MB, Kone BC: Specific association of nitric oxide synthase-2 with Rac isoforms in activated murine macrophages. Am J Physiol Renal Physiol 2001;281:F326-336.
https://doi.org/10.1152/ajprenal.2001.281.2.F326

 

46 Selvakumar B, Hess DT, Goldschmidt-Clermont PJ, Stamler JS: Co-regulation of constitutive nitric oxide synthases and NADPH oxidase by the small GTPase Rac. FEBS Lett; 2008;582:2195-2202.
https://doi.org/10.1016/j.febslet.2008.04.062

 

47 Tzima E, Del Pozo MA, Kiosses WB, Mohamed SA, Li S, Schwartz MA: Activation of Rac1 by shear stress in endothelial cells mediates both cytoskeletal reorganization and effects on gene expression. EMBO J 2002;21:6791-6800.
https://doi.org/10.1093/emboj/cdf688

 

48 Shao S, Xiang C, Quin K, Aziz A, Liao X, Liu B: Visualizing the spatiotemporal map of Rac activation in bovine aortic endothelial cells under laminar and disturbed flows. PLoS One 2017;12:e0189088.
https://doi.org/10.1371/journal.pone.0189088

 

49 Kuhn V, Diederich L, Keller TCS 4th, Kramer CM, Lückstädt W, Panknin C, Suvorava T, Isakson BE, Kelm M, Cortese-Krott MM: Red Blood Cell Function and Dysfunction: Redox Regulation, Nitric Oxide Metabolism, Anemia. Antiox Redox Signal 2017;26:718-742.
https://doi.org/10.1089/ars.2016.6954

 

50 Cortese-Krott MM, Kelm M: Endothelial nitric oxide synthase in red blood cells: Key to a new erythrocrine function? Redox Biol 2014;2:251-258.
https://doi.org/10.1016/j.redox.2013.12.027

 

51 Ozüyaman B, Grau M, Kelm M, Merx MW, Kleinbongard P: RBC NOS: regulatory mechanisms and therapeutic aspects. Trends Mol Med 2008;14:314-322.
https://doi.org/10.1016/j.molmed.2008.05.002

 

52 Nicolay JP, Liebig G, Niemoeller OM, Koka S, Gheshghacinia M, Wieder T, Haendeler J, Busse R, Lang F: Inhibition of suicidal erythrocyte death by nitric oxide. Europ J Physiol 2008;456:293-305.
https://doi.org/10.1007/s00424-007-0393-1

 

53 Huie RE, Padmaja S: The reaction rate of nitric oxide with superoxide. Free Rad Res Commun 1993;18:195-199.
https://doi.org/10.3109/10715769309145868

 

54 Pacher P, Beckman JS, Liaudet L: Nitric Oxide and Peroxynitrite in Health and Disease. Physiol Rev 2007;87:315-424.
https://doi.org/10.1152/physrev.00029.2006

 

55 Tyurina YY, Shvedova AA, Kawai K, Tyurin VA, Kommineni C, Quinn PJ, Schor NF, Fabisiak JP, Kagan VE: Phospholipid signaling in apoptosis: peroxidation and externalization of phosphatidylserine. Toxicology 2000;148:93-101.
https://doi.org/10.1016/S0300-483X(00)00199-2

 

56 Tyurina YY, Basova LV, Konduru NV, Tyurin VA, Potapovich AI, Cai P, Bayir H, Stoyanovsky D, Pitt BR, Shvedova AA, Fadeel B, Kagan VE: Nitrosative stress inhibits the aminophospholipid translocase resulting in phosphatidylserine externalization and macrophage engulfment: implications for the resolution of inflammation. J Biol Chem 2007;282:8498-8509.
https://doi.org/10.1074/jbc.M606950200

 

57 Herold S, Rock G: Reactions of deoxy-, oxy-, and methemoglobin with nitrogen monoxide. Mechanistic studies of the S-nitrosothiol formation under different mixing conditions. J Biol Chem 2003;278:6623-6634.
https://doi.org/10.1074/jbc.M210275200

 

58 Gell DA: Structure and function of haemoglobins. Blood Cells, Molecules and Diseases 2018;70:13-42.
https://doi.org/10.1016/j.bcmd.2017.10.006

 

59 Kalinga S: Interaction of peroxynitrite with myoglobin and hemoglobin, Canadian J of Chem 2011;84:788-793.
https://doi.org/10.1139/v06-067

 

60 Boccini F, Herold S: Mechanistic studies of the oxidation of oxyhemoglobin by peroxynitrite. Biochemistry 2004;43:16393-404.
https://doi.org/10.1021/bi0482250

 

61 Kondo H, Takahashi M, Niki E: Peroxynitrite-induced hemolysis of human erythrocytes and its inhibition by antioxidants. FEBS Lett 1997;413:236-238.
https://doi.org/10.1016/S0014-5793(97)00922-8

 

62 Ulker P, Yaras N, Yalcin O, Celik-Ozenci C, Johnson PC, Meiselman HJ, Baskurt OK: Shear stress activation of nitric oxide synthase and increased nitric oxide levels in human red blood cells. Nitric Oxide 2011;24:184-191.
https://doi.org/10.1016/j.niox.2011.03.003

 

63 Horobin JT, Sabapathy S, Simmonds MJ: Repetitive supra-physiological shear stress impairs red blood cell deformability and induces hemolysis. Artif Organs 2017;41:1017-1025.
https://doi.org/10.1111/aor.12890

 

64 Della Corte E, Stirpe F: The regulation of rat liver xanthine oxidase: involvement of thiol groups in the conversion of the enzyme activity from dehydrogenase (type D) into oxidase (type O) and purification of the enzyme. Biochem J 1972;126:739-745.
https://doi.org/10.1042/bj1260739

 

65 Sakuma S, Fujimoto Y, Sakamoto Y, Uchiyama T, Yoshioka K, Nishida H, Fujita T: Peroxynitrite induces the conversion of xanthine dehydrogenase to oxidase in rabbit liver. Biochem Biophys Res Commun 1997;230:476-479.
https://doi.org/10.1006/bbrc.1996.5983

 

66 Pinzon-Diaz CE, Calderon-Salinas JV, Rosas-Flores MM, Hernandez G, Lopez-Betancourt E, Quintanar-Escorza MA: Eryptosis and oxidative damage in hypertensive and dyslipidemic patients. Mol Cell Biochem 2018;440:105-113.
https://doi.org/10.1007/s11010-017-3159-x

 

67 Brandes RP, Weissmann N, Schroder K: Nox family NADPH oxidases in mechano-transduction: mechanisms and consequences. Antiox Redox Signal 2014;20:887-898.
https://doi.org/10.1089/ars.2013.5414

 

68 Suhr F, Brenig J, Muller R, Behrens H, Bloch W, Grau M: Moderate exercise promotes human RBC-NOS activity, NO production and deformability through Akt kinase pathway. PLoS One 2012;7:e45982.
https://doi.org/10.1371/journal.pone.0045982

 

69 Han W, Li H, Villar VA, Pascua AM, Dajani MI, Wang X, Natarajan A, Quinn MT, Felder RA, Jose PA, Yu P: Lipid rafts keep NADPH oxidase in the inactive state in human renal proximal tubule cells. Hypertension 2008;51:481-487.
https://doi.org/10.1161/HYPERTENSIONAHA.107.103275

 

70 Tran J, Magenau A, Rodriguez M, Rentero C, Royo T, Enrich C, Thomas SR, Grewal T, Gaus K: Activation of endothelial Nitric Oxide (eNOS) occurs through different membrane domains in endothelial cells. PLOS One 2016;11:0151556.
https://doi.org/10.1371/journal.pone.0151556

 

71 Patel HH, Insel PA: Lipid rafts and caveolae and their role in compartmentation of redox signalling. Antioxid Redox Signal 2009;11:1357-1372.
https://doi.org/10.1089/ars.2008.2365