Calcium-Mediated Interactions Regulate the Subcellular Localization of Extracellular Signal-Regulated Kinases (ERKs)

 

Dana Chuderlanda    Goldie Marmora    Alla Shainskayab    Rony Segera

 

aDepartment of Biological Regulation, The Weizmann Institute of Science, Rehovot, Israel, bMass Spectroscopy Unit, The Weizmann Institute of Science, Rehovot, Israel

 

 

 

 

Key Words

ERK • MEK • Calcium • Protein-protein interaction • MAPK

 

Abstract

Background/Aims: The subcellular localization of ERK1 and ERK2 (ERKs) in cells, which is important for proper signaling, may be regulated through protein-protein interactions. However, the proteins involved and the way they are regulated to affect localization is not entirely understood. Methods: In order to identify the interacting proteins upon varying conditions, we used co-immunoprecipitation of ERK, active ERK and its binding CRS mutant. In addition, we examined the effect of intracellular calcium on the binding using calcium chelators and ionophores, analyzing the binding using silver stain, mass spectrometry and immunoblotting. The effect of calcium on ERK localization was examined using immunofluorescent staining and Western blotting. Results: We found that inactive ERK2 interacts with a large number of proteins through its CRS/CD domain, whereas the phospho-ERK2 interacts with only few substrates. Varying calcium concentrations significantly modified the repertoire of ERK2-interacting proteins, of which many were identified. The effect of calcium on ERKs’ interactions influenced also the localization of ERKs, as calcium chelators enhanced nuclear translocation, while elevated calcium levels prevented it. This effect of calcium was also apparent upon the physiological lysophosphatidic acid stimulation, where ERKs translocation was delayed compared to that induced by EGF in a calcium-dependent manner. In vitro translocation assay revealed that high calcium concentrations affect ERKs’ translocation by preventing the shuttling machinery through the nuclear envelope, probably due to higher binding to nuclear pore proteins such as NUP153. These results are consistent with a model in which ERKs in quiescent cells are bound to several cytoplasmic proteins. Conclusion: Upon stimulation, ERKs are phosphorylated and released from their cytoplasmic anchors to allow shuttling into the nucleus. This translocation is delayed when calcium levels are increased, and this modifies the localization of ERKs and therefore also their spatiotemporal regulation. Thus, calcium regulates ERKs localization, which is important for the compartmentalization of ERKs with their proper substrates, and thereby their signaling specificity.

 

 

Introduction

 

The ERK cascade, which is a central and ubiquitous signaling pathway, utilizes Raf kinases, MEKs and ERKs as its kinase components [1-3]. Three isoforms of ERKs are currently known; ERK1, ERK2 and ERK1b/c [4-6], which upon extracellular stimulation are activated by MEK1 MEK1b and MEK2 (MEKs). In resting cells, MEKs and ERKs seem to interact with each other due to several regions in both molecules. The main interaction site of MEK in ERK seems to be the cytosolic retention sequence (CRS)/common docking (CD) domain in the C-terminus of ERKs [7, 8]. This site, operating together with additional domains in ERKs, is responsible for the levels of ERKs phosphorylation [9], as well as subcellular localization. The CRS/CD domain of ERKs was reported to exert its functions mainly by interaction with many proteins including ERKs substrates and thereby the domain is responsible for the phosphorylation of many ERKs’ targets. Interestingly, the regulators and the substrates may compete for the interaction with the CRS/CD domain and thus provide an additional facet to the regulation of ERK’s function [10].

One of the key steps in the regulation of the ERK cascade is an inducible change in the subcellular localization of its components. In resting cells, the components of the ERK cascade are localized primarily in the cytoplasm, but this is rapidly changed upon activation when MEKs and ERKs translocate into the nucleus. Whereas ERKs are transiently retained in the nucleus for minutes to hours [11], MEKs are rapidly exported from that location due to their nuclear export signal [12, 13]. The accumulation of ERKs in the nucleus is important for proper activity of the ERK cascade and its cellular responses [14]. Over the past years, ERKs were found to be retained in the cytoplasm of quiescent cells by several proteins and organelles. One group of anchoring moieties confers an irreversible interaction (e.g. microtubules [15]), while another set allows a stimulus-dependent dissociation (MEKs [16], PTP-SL [17], KSR [18]). These interactions are the main cause of the homogeneous cytoplasmic distribution of ERKs in resting cells.

Upon stimulation, ERKs are detached from many of the cytoplasmic anchors including MEKs, by a mechanism that involves phosphorylation and conformational change of the activation loop of ERKs [9, 19], and this allows a rapid nuclear translocation. The mechanism of this translocation involves phosphorylation of two Ser residues in the NTS of ERKs, which allows their binding to importin7 that escorts the ERKs to the nucleus via the nuclear pores [20, 21]. The presence of ERKs in the nucleus seems to be governed by two separate mechanisms, one is de-novo synthesis of nuclear anchoring proteins [11] and the other is an exportin-mediated MEK-dependent nuclear export [12, 22] that seems to regulate the exports of the kinases. Therefore, the subcellular localization of ERKs is governed by several docking interactions with proteins in the cytoplasm, nuclear pores and the nucleus. Elucidation of all these interacting proteins may reveal new aspects of the regulation of signaling through the ERK cascade.

Stimulation of ERK activity is induced by various extracellular agents, including growth factors and hormones [23]. In many systems, this stimulation is mediated or affected by elevation of intracellular calcium levels, as reported for the regulation of TFEB transcription factor [24]. Calcium is a versatile second messenger which affects many signaling processes in the cell [25, 26]. The involvement of elevated calcium in activation of the ERK cascade has been studied mainly in neurons, but also in other cell types [27-29]. Several molecular mechanisms have been implicated in the calcium-dependent transmission of signals to ERKs. Thus, in EGF-stimulated vascular smooth muscle cells, elevated calcium levels induce activation of the ERK cascade through CaMKII, which is dependent on PYK2 and Src activation [30]. Moreover, PYK2 [31] and CAMKII [32] were reported to stimulate ERKs upon calcium elevation, independently of each other. Another calcium mediator that may induce ERKs activation is CAMKI that was shown to operate upon depolarization of neuroblastoma cells. Finally, the activation of ERKs by calcium can be mediated by RAS-GRP, which is a Ras guanyl nucleotide releasing protein with calcium and diacylglycerol-binding motifs [33]. These studies show that ERKs can be affected by calcium and participate in the transmission of signals that induce high calcium concentrations.

During a study that was aimed to identify ERK2 interactions, we found that inactive ERK2 interacts with many proteins through its CRS/CD domain, whereas pERK2 interacts with fewer targets. We then looked for factors that may modulate the interactions and found that changes in calcium concentrations profoundly modified the repertoire of bound proteins, which included cytoskeletal and ribosomal proteins, ERKs effectors, and others. EGF treatment, which only slightly increases calcium concentrations, did not affect the ERK2 interactions, suggesting that the phosphorylation of ERKs, and not of their substrates, is important for the interaction. Since protein-protein interactions play a role in determining the subcellular localization of ERKs, we examined this distribution upon modification of calcium concentrations. We found that calcium chelators enhanced nuclear translocation, while calcium ionophores prevented this translocation. A possible physiological effect of calcium on ERK signaling was shown with Lysophosphatidic acid (LPA) that profoundly increases calcium concentration in Rat1 cells. This elevation of calcium concentration delayed the nuclear translocation of ERKs as compared to translocation induced by EGF. This effect of LPA occurred in a calcium-dependent manner as it was modified by calcium chelation. The molecular mechanism of the calcium effect is likely to be induced by inhibition of nuclear pore transport, as we found that ERKs are tightly bound to nuclear pore proteins (NUPs) upon elevation of calcium concentration. We propose that high calcium levels prevent the nuclear shuttling, and therefore play an important role in compartmentalizing ERKs. This allows interactions of ERKs with their proper substrates under varying physiological conditions and thereby determines the signaling specificity of the ERK cascade.

 

 

Materials and Methods

 

Reagents

Epidermal growth factor, ionomycin, bovine serum albumin, LPA, monoclonal anti-pERK and PKC and polyclonal anti- ERK, MEK, RSK, KSR, MKP-1, MKP-3, p38MAPK and CAMKII Abs were from Sigma (Rehovot, Israel). Polyclonal anti- pElk-1, Elk-1, pMEK, pRSK, Lyn, Fyn, PKD, p27KIP, PPARγ, c-Fos, β-arrestin, and actin Abs were from Santa Cruz Biotechnology, Inc (CA, USA). Anti-tubulin, and vinculin Abs and purified vinculin were a gift from Dr. Benny Geiger from the Weizmann Institute, Rehovot Israel, and hnRNP-K was a gift from Dr. Karol Bomsztyk from the UW (Seattle, WA, USA). BAPTA-AM, alkaline phosphatase- peroxidase- and Lissamine Rhodamine- conjugated secondary Abs were from Jackson Immunoresearch (PA, USA). Digitonin was purchased from Calbiochem (USA), NBT/BCIP was from Promega, and ECL kit was bought from Amersham (UK). Recombinant NUP153 was a gift from Dr. Michael Elbaum from the Weizmann Institute of Science. MEK1 was prepared as previously reported [12], recombinant Elk1 was from Cell Signaling (MA, USA). Glutathione beads were from Amersham (Uppsala, Sweden), and Gelcode was from Pierce (IL, USA).

 

Cell culture, stimulation and determination of ERK phosphorylation

Rat1 cells were cultured in Dulbecco’s modified Eagle’s medium supplemented with 10% fetal bovine serum (FBS), 2mM glutamine, and antibiotics. Sub-confluent cells were serum starved (0.1% FBS, 16 h) and stimulated with various stimuli. The treated cells were washed twice with phosphate buffered saline (PBS) and once with buffer A (50 mM β-glycerophosphate, pH 7.3, 1 mM EDTA, 1 mM DTT, 0.1 mM sodium orthovanadate). Cells were lysed in RIPA Buffer (25 mM Tris, pH 7.4, 150 mM KCl, 5mM EDTA, 1% Nonidet P-40, 0.5% sodium deoxycholate, and 0.1% SDS) for 5 min on ice. The lysates were centrifuged (20,000xg, 15 min 4°C). Similar amount of proteins from each fraction were subjected to SDS-PAGE and Western blotting with relevant Abs and were developed with either NBT or ECL.

 

Preparation of immobilized ERK2 columns

To prepare the columns, cDNA of human ERK2 was inserted into the BamH1 site of pGEX-2T (AP Biotech), fusing it to the C terminus of GST. GST-316A-ERK2 was prepared by inserting the appropriate cDNA [7] into the same sites instead of the wtERK2. BL21 bacteria were transformed with the GST-wtERK2, GST-316A-ERK2 and pGEX-2T constructs. For preparation of immobilized doubly phosphorylated, activated ERK2 (GST-actERK), the GST-wtERK2 was coexpressed with constitutively active MEK1 (∆N-EE-MEK1 [12]) and then treated as the other constructs. Bacterial pellets were suspended in storage buffer (5 µg/ml leupeptin, 10 µg/ml aprotinin, 1 µg/ml pepstatin, 1 mM PMSF), lysed by sonication (7 times 20 seconds) and then left shaking with 1% Triton X-100 at 4°C for 30 min. Glutathione-Sepharose 4B beads (Amersham, UK) were added to the lysed bacteria, and after 1 h incubation the beads were washed twice with PBS and once with 1mg/ml BSA in storage buffer. The GST-ERK2 column contained mainly non-phosphorylated ERK2 but also mono-pTyr ERK2. The immobilized GST-ERK2 was readily phosphorylated by active MEK1 in-vitro, indicating that the enzyme was properly folded. The GST-actERK2 column contained about 65% doubly phosphorylated ERK2 but also mono-pTyr and some (10%) non-phosphorylated ERK2. Moreover, the immobilized GST-actERK2 demonstrated substantial activity towards MBP (~200 nmol/min/mg), indicating proper folding. To initialize the experiments, the amount of glutathione-bound proteins in the column was equilibrated (~250 µg/0.5 ml beads), and the columns were extensively washed with buffer A and buffer A+1.0 M NaCl to remove residual non-specific binding of bacterial proteins.

 

Loading and development of the GST-ERK2 columns

Rat1 cells (2.5 x108 cells for each column) were serum-starved (0.1% FBS, 16 h) and then treated as described. Subsequently, the cells were washed twice with PBS, once with buffer H (buffer A + protease inhibitors), and the cells were harvested into buffer H. Extracts (containing cytoplasmic and nuclear fractions) were prepared by sonication, (3x20 sec), followed by centrifugation (20,000xg, 15 min), which yielded 3 mg total extract in 3 ml buffer H. The extracts were pre-cleared on GST-glutathione beads (0.5 ml) and loaded on the various columns described above at 0.5 ml per minute. The columns were washed with 10 column volumes of buffer A followed by 4 column volumes of 0.1M NaCl in buffer A to release proteins that do not bind at physiological salt concentration. The remaining proteins were eluted with 0.2M NaCl in buffer A. The columns with BAPTA-AM and ionomycin-treated extracts were developed similarly, but in keeping with the intracellular calcium concentration, 1 mM calcium was added to the ionomycin-treated extracts, while EGTA (1.5 mM) was added to columns of BAPTA-AM-treated extracts. The eluates were then subjected to SDS-PAGE, followed by silver staining or Western blotting.

 

Mass spectrometry

Column eluates were subjected to SDS-PAGE, stained with Gelcode and analyzed by the Mass Spectrometry Unit of the Weizmann Institute of Science.

 

Localization studies

Rat1 cells were grown on glass cover slips under the conditions described above. After serum-starvation (16 h, 0.1% FBS), the cells were treated as above, washed twice with PBS, fixed with 3% paraformaldehyde (PFA) for 20 min, and permeabilized with 0.2% Triton X-100 in PBS for 5 min. Next, the cells were incubated with the relevant primary and secondary Abs and the fluorescence imaging was performed using Nikon (EFD-3) fluorescent microscope at x400 magnification.

 

 

Results

 

Interaction of ERK2, but not its phosphorylated form, with large number of proteins is mediated by the CRS/CD domain

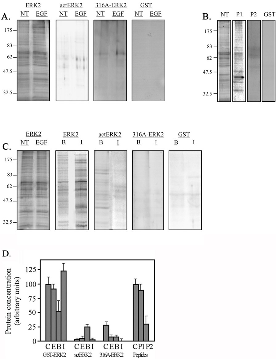
Interaction of ERKs with various cytoplasmic proteins is important for their regulation and subcellular localization [34, 35]. Here we used a proteomic approach to identify proteins that interact with non-active ERK2, ERK2 mutated in its CRS/CD domain (316A-ERK2), and also its activated form (actERK2). The activated form was generated by expressing the GST-ERK2 together with an active MEK1 in bacteria [20]. To this end, we prepared several columns, including GST-ERK2, GST-actERK2, GST-316A-ERK2 and GST control, and used them to fractionate treated Rat1 cells. Silver staining of eluates from the GST-ERK2 column loaded with extracts from non-stimulated Rat1 cells, revealed about 50 protein bands of various molecular weights (Fig. 1A). The same protein distribution was observed in eluates of extracts from cells treated with EGF (50 ng/ml) for 5, 15 and 30 min. (Fig. 1A, and data not shown). In contrast to the large number of proteins eluted from the GST-ERK2 column, only two bands with molecular weights of 60 and 70 kDa and a few other weak bands were detected in the eluates of GST-actERK2 column loaded with extracts from non-stimulated, as well as EGF-stimulated Rat1 cells. Interestingly, also the eluates of the GST-316A-ERK2 column contained only a small number of proteins including the 60 and 70 kDa proteins seen in the GST-actERK2, and few other weak bands, different from those in the eluates of the GST-actERK2 (Fig. 1). No proteins were detected in the GST column’s eluates, demonstrating binding specificity.

To verify that the proteins are bound through their interaction with the residues mutated in the 316A-ERK2, we used a binding competition with CRS/CD-derived decapeptide (P2). When this peptide was added to the GST-ERK2 column during the loading and developing procedures, it competed out most of the bands seen in the regular column under the procedure used, while a control peptide derived from FAR1 (P1) had much less effect, and although it modified some of the bands, it did not wipe-out all proteins (Fig. 1B). Taken together, these results indicate that ERK2 binds a large number of proteins through its CRS/CD domain, and that this binding may be released by the phosphorylation of ERK2. The fact that the short-term treatment with EGF does not change the binding indicates that the release is due to phosphorylation of ERKs and not due to changes in the binding proteins upon EGF stimulation.

 

Fig. 1. Detection of ERK2-interacting proteins by silver staining. A. Extracts of quiescent or EGF-stimulated (50 ng/ml, 15 min) Rat1 cells (3 mg protein) were loaded on 0.5 ml columns of GST-ERK2, GST-actERK2, GST-316A-ERK2 and GST alone and developed as described. The 0.2M NaCl eluates were subjected to SDS-PAGE and silver stained. B. Rat1 extracts from non-stimulated cells were loaded on the GST-ERK2 columns in the presence of a peptide (0.5 mg/ml) derived from FAR1 (P1), from the CRS of ERK2 (P2) or without peptide and the eluates were processed as above. C. Extracts (0.5 mg protein) from BAPTA-AM (15 µM, 60 min) and ionomycin (1 µM, 30 min) were loaded on the indicated columns, which were processed in the presence of EGTA (1.5 mM, for BAPTA-AM extracts) or CaCl2 (1 mM, for ionomycin column), and processed as above. The eluates of non-treated and EGF stimulated cells is brought for comparison. D. The protein concentrations in the various eluates were determined by Bradford protein assay. The barographs represent averages of three distinct experiments.

 

Changes in calcium concentrations modify the repertoire of ERK2 binding proteins

Although no changes were detected in the repertoire of ERK2-interacting proteins upon stimulation with EGF (Fig. 1) and other mitogenic agents (not shown), changes in calcium concentrations did modify the interactions. Thus, Rat1 cells were treated for short time periods with either the calcium ionophore, ionomycin (1 µM), to increase intracellular calcium levels (from 100 nm to ~2 µM), or the intracellular calcium chelator BAPTA-AM (15 µM) to reduce intracellular calcium by about 5-fold. The extracts that were yielded from these cells were loaded on the GST columns, and the development of the columns proceeded as described above, except that 1 mM calcium was added to the columns loaded with extracts from the ionomycin treated cells, and the development of columns loaded with extracts from BAPTA-AM-treated cells was done in the presence of EGTA (1.5 mM). Silver staining of eluates from GST-ERK2 column loaded with extracts from BAPTA-AM-treated cells revealed a reduction in binding of many of the interacting proteins, and some of them were not detected at all (Fig. 1C). On the other hand, the eluates from ionomycin-treated cells contained largely similar proteins to those seen in eluates of non-treated or EGF-treated extracts, although the relative intensity of the proteins’ bands was different and some new proteins were detected. Interestingly, the GST-actERK2 eluates of BAPTA-AM-treated cell extracts contained a significant number of proteins with an overall lower intensity as compared to those eluted from non-treated Rat1 extracts. Many of these bands were different from those observed in eluates of other columns. When extracts from ionomycin-treated cells were loaded on the GST-actERK2, their eluates contained a small number of proteins, which were different from the proteins obtained in the GST-actERK2 eluates (Fig. 1C). Furthermore, as seen with extracts from untreated or EGF-treated cells, GST-316A-ERK2 was bound only to a small number of proteins. Finally, GST alone did not bind any proteins, pointing again to the specificity of the interaction. Determination of the protein levels in each of the fractions by Bradford assay correlated well with the apparent protein intensity obtained in the silver stains, (Fig. 1D), indicating again that only a small number of proteins can bind to activated or 316A-ERKs, and that varying calcium concentrations do modify the binding properties of both non-phosphorylated and phosphorylated-ERK2.

 

Identification of ERK2-interacting proteins by mass spectrometry and Western blotting

Since the ERK-interacting proteins are likely to play a role in the determination of the subcellular localization of ERKs [34], we undertook to identify the abundant interacting proteins that may serve as ERK-anchoring proteins. Thus, large amounts of eluates were subjected to SDS-PAGE, followed by staining with Gelcode and identification by mass spectrometry. Proteins that clearly appear in some of the eluates were usually identified once, and not in all eluates (Table 1). One big group of interacting proteins was cytoskeletal proteins, which is in agreement with the large proportion of cytoskeletal protein that were found among ERK’s substrates [4]. Other proteins that were identified are ribosomal proteins, endocytotic proteins, few receptors, and proteins that were not categorized into any special group (Table 1). It should be noted however, that many of the transient, physiologically relevant, interactions that cannot withstand the conditions used because of  lower affinity, were not identified here. Therefore, the identified proteins are likely to represent only the high-affinity binders and the list of interacting proteins is probably much higher than those identified here. Moreover, the higher number of proteins identified in the ionomycin treated cells is probably not due to changes in the number of interacting proteins (Fig. 1C), but rather can be the result of an easier MS detection of these proteins.

Several proteins have previously been reported to interact with ERKs in different cell lines and conditions [34]. To confirm interactions with ERK2 we subjected the different eluates to Western blotting using antibodies (Abs) to either reportedly interacting or effector proteins or the proteins identified by mass spectrometry. Two of these proteins are ERKs themselves that were reported to homodimerize upon activation [36]. Here we found that only ERK1 is capable of interacting with non-activated ERK2, but not with the doubly phosphorylated enzyme, and this interaction occurs regardless of the calcium levels or stimulation (Fig. 2A). MEKs [37], as well as their phosphorylated forms, were found in eluates of GST-ERK2 but not GST-actERK2, were stronger in eluates of ionomycin-treated, but were not found in eluates of BAPTA-AM-treated cell extracts. Elk1 [38] was found primarily in eluates of either non-phospho- or phospho-ERK2 loaded with BAPTA-AM-treated cell extracts, but pElk1 was not detected under any of the conditions used. RSK [39] interacted with ERK2, but not with its phospho-form, with no effect of EGF or calcium, and this interaction was not seen with pRSK. c-Fos was found to interact with non-phosphorylated ERK2, mainly when stimulated with EGF or ionomycin, and less with non-stimulated or BAPTA-AM-treated extracts. Several other proteins that were found to interact with ERK2 under some conditions are KSR, CaMK2, MKP1, p38MAPK, vinculin, hnRNP-K, NUP153 and tubulin (Fig. 2B). Proteins that were not detected under any conditions are: Src, Lyn, Fyn, Syk, MKP3, PKC, PKD, AKT, p27Kip, Jun, Myc, PPARγ, estrogen receptor, and β-arrestin.

 

Table 1. ERK-interacting proteins. Proteins binding to ERK or pERK in different calcium concentrations were identified by Western blotting or mass spectrometric analysis. Bands that appeared identical to those identified by mass spectroscopy in different eluates are marked with ^. Proteins that were identified by Western blots are marked with *

Fig. 2. Identification of ERK2-interacting proteins by Western blotting. The eluates described in Fig. 1. were subjected to Western blotting with the indicated Abs.

 

The ERK2 interactions are direct and specific

The results above clearly demonstrate that a large number of different proteins interact with ERK2 under varying conditions. In order to examine the possibility that the interaction is mediated via few proteins that are complexed with the additional proteins observed, we used fractionation of the eluates of the GST-ERK2 on a Superose–6 FPLC sizing column. The size exclusion profile showed homogenous distribution of proteins in molecular weights of 10,000-500,000 kDa, which is in correlation to the silver stains of these eluates (data not shown). Therefore, it is likely that the interactions were not through aggregation but probably through a direct association with ERK2.

To further confirm the specificity of the binding we performed in vitro binding experiments. We chose three of the identified proteins, MEK1, vinculin and Elk1, and examined the nature of their molecular interactions with GST-ERK2 or GST-actERK2 with varying calcium concentrations (Fig. 3). Under these conditions, MEK1 interacted stronger with non-phosphorylated ERK2, and this interaction was increased with elevated calcium concentration. Vinculin showed a similar binding profile to that of MEK1, while Elk1 binding was detected under all conditions but was slightly higher in lower calcium concentrations. These results, which were similar with the endogenous proteins, indicate that the interactions are direct and can be observed in the absence of additional proteins.

 

Fig. 3. In vitro binding of MEK1, vinculin and Elk1 to ERK2. 1 µg recombinant GST-ERK2 was incubated with 0.5 µg recombinant His-MEK1, purified vinculin or recombinant Elk-1 (1 h 23°C) in buffer containing 20 mM HEPES PH 7.4, 20mM MgCl2, 20mM NaCl, 1mM DTT and 10 mg/ml of aprotinin), with the indicated concentration of CaCl2. The beads were washed 3 times with a buffer containing 20 mM HEPES PH 7.4, 20mM MgCl2, 100mM NaCl and 1mM DTT) with the same CaCl2 concentrations. Then the beads were boiled in sample buffer, and subjected to Western blotting with anti-MEKs, vinculin and Elk-1 Abs. Total loading was detected by polyclonal anti-GST Ab.

 

Decreasing intracellular calcium concentrations enhances nuclear translocation of ERKs in Rat1 cells

As described above, the subcellular localization of ERKs may be regulated by protein-protein interactions. We demonstrated here that calcium profoundly affects protein interactions of ERK2 (Fig. 1 and 2), including proteins that may affect the subcellular localization of ERKs such as MEK1 and vinculin (Fig. 3) that direct ERKs to the cytoplasm ([7] and data not shown). Therefore, we hypothesized that calcium may determine the subcellular localization of ERKs, and undertook to study the effects of varying calcium concentrations on the translocation of ERKs into the nucleus. As expected, ERKs were detected in the cytoplasm of resting Rat1 cells, while EGF stimulation resulted in translocation of ERKs into the nucleus (Fig. 4A). Interestingly, BAPTA-AM caused a slow but steady nuclear accumulation that peaked within 1 h and remained high for several hours. Pretreatment with BAPTA-AM prior to EGF stimulation significantly enhanced the nuclear translocation of ERKs, which was maximal 5 min after EGF stimulation and remained high at all times tested.

Since nuclear translocation of ERKs seems to be linked to their activatory TEY-phosphorylation [19], it was important to study the role of this phosphorylation in BAPTA-AM-induced nuclear localization of ERKs. Western blotting with anti-pERK Ab revealed that treatment of cells with BAPTA-AM induces a low level of ERKs phosphorylation (Fig. 4B). Moreover, pretreatment with BAPTA-AM prior to stimulation with EGF resulted in enhanced phosphorylation of ERKs. To determine whether the increased ERKs translocation is a result of enhanced phosphorylation, we defined activation conditions using EGF alone or BAPTA-AM plus EGF that produced equivalent amounts of pERKs (Fig. 4C). Staining of these cells with anti-general ERK (gERK) Ab demonstrated that despite the comparable levels of ERKs activation, the nuclear translocation of ERKs was much more extensive in cells pretreated with BAPTA-AM than in those stimulated with EGF alone (Fig. 4D). Thus, the nuclear translocation caused by decreased intracellular calcium concentrations is probably independent of the effect of reduced calcium on the activation of ERKs.

 

Fig. 4. Subcellular localization of ERKs in response to variable calcium concentrations. A. Following serum-starvation (0.1% FBS, 16 h), Rat1 cells were treated with BAPTA-AM (15 µM) for varying times, with EGF (50 ng/ml for 15 min) or pretreated with BAPTA-AM prior to EGF stimulation for the final 15 min of the treatment. The cells were stained with anti-ERK Ab and its localization was assessed by fluorescence microscopy. B. Cell lysates were subjected to SDS-PAGE and Western blot analysis using Abs to pERK (upper panel) or gERK (lower panel). C. Rat1 cells were treated with 15 µM BAPTA-AM for 1 h prior to stimulation with 5 ng/ml EGF or with 100 ng/ml EGF alone. Lysates were subjected to Western blotting with anti-pERK Ab. D. Rat1 cells were treated with 100 ng/ml of EGF for 15 min, BAPTA-AM for 60 min with 5 ng/ml EGF 15 min and the localization of ERK was assessed with anti-gERK Ab. E. Rat1 cells were treated for 30 min with varying concentrations of ionomycin alone, or prior to EGF stimulation (50 ng/ml, 15 min). The localization of ERK was assessed with anti-gERK Ab F. Cell lysates were subjected to Western blot analysis using anti-pERK (upper panel) or gERK (lower panel) Abs.

 

Increasing intracellular calcium concentrations inhibits nuclear translocation of ERKs

Next, the effect of increasing intracellular calcium concentrations on ERKs activation and subcellular localization was examined. An increase in intracellular calcium concentrations was achieved by treatment of the cells with the calcium ionophores ionomycin and A23187 that have previously been shown to induce a 10-15 fold elevation in the amount of free calcium in Rat1 cells [40]. However, neither ionomycin (Fig. 4E) nor A23187 (not shown) induced nuclear translocation of ERKs under any of the conditions examined. Furthermore, addition of ionomycin (Fig. 4E) or A23187 (not shown) prior to EGF stimulation inhibited the EGF-induced nuclear translocation of ERKs in a dose-dependent manner, although some accumulation of ERKs was detected in the perinuclear region of the Rat1 cells. Interestingly, this inhibition occurred despite substantial activation of ERKs by ionomycin or A23187, which was comparable to the EGF-induced phosphorylation (Fig. 4F). Though it is well established that ERKs activation causes its nuclear translocation [19], here we uncouple these effects, as the ionomycin-induced activation of ERKs was not accompanied by their nuclear translocation. The fact that an increased amount of calcium induces cytoplasmic retention, while much lower calcium elevation that is induced by EGF did not inhibit the translocation, and reduction in the basal calcium levels by BAPTA-AM facilitated it, strongly links calcium to the mechanism controlling the subcellular localization of ERKs.

 

Calcium modifies the localization of pERKs

The above results indicate that calcium plays a role in the determination of ERKs localization independent of their activity, but its effect on phosphorylated ERKs was not determined. To address this issue, anti-pERK Ab was used to stain Rat1 cells both before and after mitogenic stimulation and modulation of intracellular calcium concentrations. In untreated Rat1 cells, the staining with this Ab was very faint and localized primarily to the cytoplasm (Fig. 5A, B). Stimulation of the Rat1 cells with EGF for 15 min increased pERK staining in the cytoplasm without a matching increase in the staining of the large amount of nuclear translocated ERKs at this time (Fig. 4). This low level of nuclear pERKs at later stages after stimulation has previously been reported [41], and is probably due to specific phosphatases in the nucleus. We then studied the influence of calcium and found that after BAPTA-AM treatment, pERKs translocated into the nucleus at a similar rate as the nuclear translocation of general ERKs under the same conditions (Fig. 5A). Moreover, treatment with BAPTA-AM prior to EGF stimulation also resulted in a time-dependent nuclear accumulation of pERKs, which was more extensive than that observed in cells treated with EGF or BAPTA-AM alone. These results suggest that the dephosphorylation of ERKs in the nucleus may be calcium-dependent, or that in the absence of calcium, ERKs are sequestered from phosphatases.

We then examined the effect of calcium on pERKs localization using ionomycin that enhances phosphorylation of ERKs but inhibits their nuclear translocation (Fig. 4D, E). As expected, staining experiments detected an increase in ERKs phosphorylation upon elevated calcium concentration (Fig. 5B). However, in these ionomycin-treated cells, pERKs were mainly detected in the cytoplasm and around the nucleus, with much less nuclear staining than would be expected from the amount of ERKs’ phosphorylation. The similar localization observed with anti-pERK and anti-gERK Abs under high calcium conditions (Fig. 4E and 5B) is distinct from the differential staining seen with low calcium concentrations (Fig. 4A and 5A). This suggests that the inactivation of ERKs is not enhanced by high calcium concentrations, and that the cytosplasmic localization caused by elevated calcium concentrations occurs independently of the phosphorylation state of ERKs. To further validate the effect of calcium on ERKs’ localization, we examined the phosphorylation of cytoplasmic (RSK) as compared to nuclear (Elk1) ERK substrates [4]. As expected, treatment of Rat1 cells with ionomycin induced a strong and sustained RSK activation that was higher than RSK phosphorylation obtained upon EGF stimulation that induce similar ERKs phosphorylation (Fig. 5C). On the other hand, the ionomycin-activated ERKs did not induce Elk1 phosphorylation in spite of the ability of EGF-stimulated ERKs, which were similarly TEY phosphorylated, to induce significant Elk1 phosphorylation. Therefore, these results suggest that elevated calcium concentrations may direct active ERKs to cytoplasmic and not nuclear targets, and thereby modify the signaling specificity and downstream effects of ERKs.

 

Fig. 5. Calcium concentrations affect the subcellular localization of active ERKs. A. Rat1 cells were stimulated with EGF (50 ng/ml, 15 min) or BAPTA-AM (15 µM), or pretreated with BAPTA-AM prior to EGF stimulation (15 min). B. Rat1 cells were stimulated with EGF (50 ng/ml, 15 min), with ionomycin (1µg/ml, 45 min) or pretreated with ionomycin (30 min) prior to EGF (15 min). Localization of pERK was detected with the appropriate Ab. C. Rat1 cells were stimulated with EGF (50 ng/ml) or with ionomycin (1 µg/ml) for the indicated times. The cells were then harvested and their extracts were subjected to Western blot analysis with the indicated Abs.

 

LPA induces a delayed nuclear translocation of ERKs in a calcium-dependent mechanism

In order to study the physiological function of the calcium-induced cytoplasmic retention of ERKs we used LPA, which was shown to increase calcium concentrations, ERKs activity and DNA synthesis in Rat1 cells [42]. Unlike ionomycin that can elevate calcium concentrations up to 4 µM, which is non-physiological concentration, LPA induces somewhat lower concentration (~0.5 µM) that are seen also by other stimulants. The elevated calcium concentrations in this cases is mainly induced by release of calcium from intracellular stores [43]. Here we used Rat1 cells, starved them for 16 h and treated with either LPA (4 µg/ml) or EGF (50 ng/ml), which induces very low elevations of calcium concentrations, for the indicated times. Western blot with anti-pERK Ab showed that ERKs phosphorylation upon LPA treatment is very similar to that upon EGF stimulation, as it peaks to similar levels 5 min after stimulation and starts to decline 25 min later (Fig. 6A). Interestingly, the rate of LPA-induced nuclear translocation of ERKs was significantly delayed as compared to the EGF induced one (Fig. 6B). Addition of BAPTA-AM to LPA prior to stimulation by LPA enhanced the rate of translocation, similarly to the rate induced by EGF (Fig. 6C), without modification of ERK activity (data not shown). Therefore, we suggest that elevated calcium concentrations delay the rate of nuclear translocation, and thereby allow ERKs to first induce cytoplasmic processes and only later their nuclear functions. These differences in localization can induce distinct physiological functions without changes in the rate or magnitude of ERKs phosphorylation or activity.

 

Fig. 6. LPA delays the nuclear translocation of ERKs in a calcium-dependent manner. A. Serum starved Rat1 cells were treated with LPA (4 µg/ml) or EGF (50ng/ml) for the indicated times. Then, the lysates were subjected to Western blot analysis using anti-pERK or anti-gERK Ab as indicated. B. Following serum-starvation, Rat1 cells were treated with LPA (4 µg/ml; left) or EGF (50ng/ml) for the indicated times. Localization of ERKs and the nuclei were detected by staining with αgERK Ab or with DAPI, respectively. C. Serum-starved Rat-1 cells were treated with or without BAPTA-AM (BAPTA; 15min) prior to stimulation with LPA (4 µg/ml, 5 min). Localization of ERKs and nuclei was detected as in B.

 

Calcium inhibits nuclear translocation of ERKs by preventing their nuclear transport machinery

The results described above raised the question as to what could be the molecular mechanism responsible for calcium-mediated inhibition of nuclear translocation. We therefore undertook to examine the effect of calcium on the shuttle of ERKs through the nuclear envelope that is mediated by a carrier-independent mechanism [44, 45]. We used a digitonin-permeabilization method in which cellular membranes, but not the nuclear envelope, are solubilized. This method was proven useful in the study of ERKs’ translocation without affecting other cellular processes [45]. We found that addition of GST-ERK2 to the permeabilized Rat1 and HeLa cells, followed by staining with anti-gERK Ab resulted in a rapid accumulation of GST-ERK2 in essentially all (>95%) detected intact nuclei (Fig. 7). However, when incubated in the presence of increasing calcium concentration, the nuclear accumulation was inhibited, and GST-ERK2 was detected mainly in perinuclear regions. This inhibition of nuclear accumulation was seen in a great majority (>90%) of the nuclei. These results indicate that the effect of calcium on ERK translocation occurs mainly at the nuclear envelope. This is supported by the perinuclear staining of ERKs observed with elevated amounts of calcium in the in-vivo staining above (Fig. 4 and 5). Thus, our results indicate that the inhibition of ERKs translocation by elevated calcium concentration is mainly mediated by calcium-dependent inhibition of nuclear transport through the nuclear envelope.

It was previously shown that ERKs translocate into the nucleus through the nuclear pores at the nuclear envelope by interaction with NUPs 153 and 214 [44, 45]. Therefore, the accumulation of ERKs at the nuclear envelope prompted us to study the effect of calcium on the interaction of active ERKs with NUPs. For this purpose, we performed an in vitro binding assay between GST-actERK2 and His-Nup153c in the presence or absence of calcium. We found that the addition of calcium resulted in an increase in the interaction between the two proteins (Fig. 7C). Therefore, it is likely that under high calcium concentration, the fully activated ERKs that are released from their anchoring proteins, do not translocate into the nucleus because of increasing irreversible interaction with NUPs. However, since calcium may increase protein interactions of inactive and to some extent also active ERK2 with other proteins, we cannot exclude the possibility that the prevention of translocation by calcium is also mediated, to some extent, by increased cytoplasmic retention by calcium-dependent anchoring proteins.

 

Fig. 7. Nuclear translocation of GST-ERK in vitro is affected by calcium. (A) HeLa and Rat1 cells were serum-starved (16 h 0.1% FBS), washed in ice-cold buffer as described [45] and permeabilized with digitonin (60 µg/ml, Calbiochem) for 5 min on ice. Cells were then washed and incubated with 0.3 mg/ml of recombinant GST-actERK2 (eluted from the glutathione beads with reduced glutathione) for 30 min at room temperature. The cells were then fixed with 3% PFA at 23°C, and methanol/acetone (50% vol/vol 30 min, 23°C). After fixation, the cells were stained with anti-gERK Ab as above. (B) Recombinant NUP153 (0.5 µg/binding assay) was incubated (2 h, 4°C) with GST-ERK2 conjugated to glutathione beads in the absence or presence of increasing calcium concentrations as indicated. After incubation, the beads were washed three with buffer A+0.15M NaCl containing the indicated calcium concentration and this was followed by boiling in sample buffer and Western blot with anti-gERK and anti-NUP153 Abs.

 

 

Discussion

 

A plethora of extracellular stimuli are translated by cells into intracellular responses by a network of signaling pathways. This network seems to regulate different and sometime even contradicting responses, raising the question of how the specificity of the signals is regulated. One way by which the specificity of signals can be secured is through protein-protein complexation and compartmentalization of special components of the network that bring about the right signals to their accurate destinations. Here we show that indeed the interaction of ERK2 with different proteins may regulate its differential localization and function under distinct stimulation and cellular responses. Thus, we found that non-phosphorylated ERK2 interacts with a large number of proteins through its CRS/CD domain. On the other hand, the doubly phosphorylated, active form of ERK2 loses its binding properties, and seems to interact with only a small number of proteins that include its direct substrates. Most of the interactions identified are dependent on sufficient levels of calcium, which seems to enhance mainly the multiple interactions of the non-phosphorylated protein. Lower levels of calcium seem to weaken the binding of non-phosphorylated ERKs to many of the interacting proteins but may induce other types of interactions by active ERKs.

Phosphorylation and activation of ERK2, as well as changes in calcium concentrations, not only modify the magnitude of protein interaction to ERK2, but also affect the subcellular localization of the ERKs. Thus, we show here that an additional regulator of ERK translocation is varying calcium levels, which when reduced, increase nuclear translocation, while elevated calcium levels prevent the translocation. The effects described here on the protein-protein interactions of ERK2 may explain the regulation of the subcellular localization of ERKs according to the following model (Fig. 8): In resting cells, ERKs are localized in the cytoplasm due to calcium-dependent interactions with a large number of proteins, which direct them to various areas in the cytoplasm. Upon activation, ERKs detach from most of their cytoplasmic anchoring proteins, and are free to phosphorylate their substrates. The active ERK molecules are also able, at this stage, to translocate into the nucleus where they accumulate by binding to a nuclear set of interacting proteins. Elevated calcium concentrations do not interfere with the release of ERKs from the cytoplasmic anchoring proteins, but seem to inhibit the penetration of the free pERK molecules into the nucleus, probably due to inhibition of the nuclear transport machinery. Consequently, active ERK molecules can influence cytoplasmic processes for longer times, but cannot induce short-term effects (e.g. transcription) in the nucleus. Finally, the reduction of calcium below physiological levels disrupts the calcium-dependent interactions of ERKs and allows non-phosphorylated ERKs to move into various cellular compartments where the ERKs interact with a different set of proteins in a calcium-independent manner.

An important issue in this study was to determine the specificity of the interactions with ERK2. Several lines of evidence lead to the conclusion that most of the identified proteins indeed bind directly to ERK2. Thus, we found that: (a) Most of the proteins eluted from the GST-ERK2 column as free proteins and not as aggregates, indicating that they were not bound through large protein complexes (b) Some of the interactions identified (MEK1, vinculin, Elk1) were reproduced in an in vitro purified system in the absence of any other proteins. (c) No proteins were found to bind to either GST alone or even to the GST-316A-ERK2, which is mutated in only three residues within the CRS/CD domain. (d) Many of the proteins examined, including some that were reported as “sticky proteins” failed to bind to GST-ERK2. (e) Another method to determine protein-protein interaction, the yeast two-hybrid system also revealed large number of ERK-interacting proteins (>100, data not shown). (f) It has previously been shown in many works that ERKs interact with substantial number of proteins including scaffolds, substrates and others [4, 46]. These observations strongly indicate that most, if not all, the identified interactions are indeed through direct and specific binding with ERK2.

As mentioned above, several ERK-interacting proteins have been identified over the past years, and therefore it was important to analyze their interaction in the context of large number of other interacting proteins. Thus, it was shown that the protein interaction of ERKs is mediated by several regions including CRS/CD [7, 8], the DEF binding domain [47], non-phosphorylated activation loop residues [48] and others (reviewed in [46]). It was also shown that the interaction between ERKs and MEKs is reversed upon stimulation [19], and thus allows nuclear translocation. Here we confirm these observations by showing that the interaction of MEKs occurs only with non-phosphorylated ERK2, but not with the phosphorylated ERK2. We also show that the MEK-ERK interaction is dependent in part on elevated calcium concentrations. Thus, our results suggest that MEKs are not the only cytoplasmic anchoring proteins of ERKs.

Homodimerization of active ERK molecules was proposed to participate in the mechanisms of translocation of ERKs [36]. However, we found here that interaction between ERKs occurs only in their non-phosphorylated form, and calcium has only a minor effect on these interactions. These results, together with the fact that substitution of the homodimerization domain to alanines enhanced, rather than slowed, the nuclear translocation of ERKs [19], challenge the role of ERK dimerization in the nuclear translocation process. Another known interaction of ERKs is with the transcription factor Elk-1 [38]. We found that Elk1 interaction occurs with unphosphorylated, as well as phosphorylated ERK2, but not with the phosphorylated form of Elk1. These results indicate that ERKs interact with Elk1 upon activation and the proteins are detached upon Elk1 phosphorylation. In addition, we expected to find an interaction with MAPK phosphatases [49], but found MKP1 binding only after ionomycin treatment. The reason for the lack of MKPs interaction is probably because they are only expressed upon stimulation [50]. Thus, in the starved cells there were no MKPs, and the short ionomycin treatment was sufficient to induce only MKP1.

In contrast to most of the ERK-interacting proteins that could bind to non-phosphorylated ERK2, there were only few proteins that were found to interact with actERK2 under the conditions examined. One of these proteins is tubulin that has previously been shown to interact with a significant portion of ERK molecules in many cells [15]. This interaction was reported to be only slightly reduced upon stimulation [15], and this is confirmed here. Similar results were seen with actin, which was also reported to interact with ERKs under some conditions [51]. Therefore, tubulin, actin and other cytoskeletal elements may serve as cytoplasmic anchors of ERK2 even after stimulation, thus allowing some of the ERK molecules to execute essential functions in the cytoskeleton. Such anchoring effect could be mediated by vinculin that we show here to strongly interact with non-phosphorylated ERK2. Indeed, our data indicate that this protein, when overexpressed, can retain overexpressed ERK2 in the cytoplasm (data not shown), supporting its role in the regulation of ERKs localization. Finally, we found that previously reported interactions with KSR [52], RSK [39] c-Fos [53], p38MAPK [54], vimentin [55], NUP153 [44] and the newly discovered CaMKII and vinculin are increased by calcium. Contrary, interaction with the nuclear hnRNP-K [56] seems to occur mainly when calcium is missing.

The substantial effect of calcium on ERKs is likely to be of high physiological significance. Here we show that calcium delays the nuclear translocation of ERKs upon LPA treatment in a calcium-dependent manner, suggesting that ERKs can first execute their cytoplasmic function and only at late stages regulate nuclear processes. Indeed, we have shown that in the presence of calcium, ERKs were able to activate their cytosolic substrate RSK for longer period of time, while the phosphorylation of the nuclear substrate Elk1 was significantly reduced. This adds to the multiple effects that calcium can play in activating the ERK cascade in various cell types [27]. Another example that can be re-examined in light of this work is the pituitary, where calcium levels are increased dramatically upon Gonadotropin-releasing hormone (GnRH) stimulation, although the role of this increase in ERK activation is not entirely resolved [57, 58]. Interestingly we previously found that in a pituitary-derived cells termed LβT2, the translocation of ERKs into the nucleus upon GnRH treatment is slow, starts only 30 min after activation and is maximal about 90 min after stimulation. These subcellular localizations correlate with the function of ERKs in this cell lines, as initially (30 min) ERKs participate in the regulation of cytoplasmic exocytosis of LH or FSH [59], while ERK-regulated transcription can be detected only later (60-90 min [60]. Thus, in these cells, calcium regulation of ERKs localization might be important for proper outcome of GnRH signaling.

The effect of calcium on the nuclear translocation of ERKs, which is the main physiological response identified here, drew our attention to the molecular mechanism by which the prevention of nuclear translocation occurs. When addressing the role of calcium in nuclear translocation, it is important to note that calcium may have a general role on the sliding of proteins through nuclear pores [61, 62]. The mechanism that mediates this effect on nuclear pores involves a release of calcium from stores located in the cisternal space of ER that is adjacent to the nuclear envelope. This release of calcium induces a large conformational change in the nuclear pores, which then affect free nuclear diffusion. Although this mechanism might be involved in part in the prevention of ERKs translocation in our system, it cannot explain the effect on the stimulated, energy-dependent translocation observed here. Rather, this effect may be mediated by effect of calcium on NUPs that have been previously shown as a crucial step in the translocation of ERKs into the nucleus [44, 45]. Indeed, we found that ERK2 interact with NUP153 and this interaction is regulated by elevated calcium concentrations. It is therefore possible that high calcium concentration may affect both passive and active mechanisms of ERKs’ translocation into the nucleus [63]. Calcium-induced conformational changes [61] may affect the diffusion of ERKs, which occurs mainly in resting cells, and increased association of active ERKs with NUPs may explain the prevention of the stimulated translocation.

 

Fig. 8. Model representing ERKs localization upon stimulation and changes in calcium. Localization, phosphorylation and interaction of ERKs are shown. For more details see discussion.

 

 

Conclusion

 

We found that inactive ERK2 interacts with a large number of proteins through its CRS/CD domain, whereas the pERK2 interacts with only few proteins, including some of its substrates. Changes in calcium concentrations affect protein interaction of ERKs as well as their nuclear translocation. We also showed that translocation of ERKs induced by LPA is delayed as compared to the translocation induced by EGF, and this delay is due to the elevated calcium concentrations induced by LPA. The prevention of translocation by high calcium probably occurs by inhibition of the transport of ERKs through the nuclear envelope. Together, these data are consistent with a model in which ERKs in resting cells are bound to several cytoplasmic proteins in a calcium-dependent manner. Upon stimulation, ERKs are phosphorylated and released from the cytoplasmic anchors to allow free shuttle within the cytoplasm and towards the nucleus, which is inhibited by calcium. This is physiologically important because elevated calcium by some stimuli, such as LPA, may change the localization and thereby the specificity of the ERK cascade. Thus, the subcellular localization of ERKs, which is influenced by calcium, and the CRS/CD-mediated interactions with many proteins appear to be key regulators of the ERK cascade.

 

 

Acknowledgements

 

R.S. is an incumbent of the Yale Lewine and Ella Miller Lewine professorial chair for cancer research.

 

Author contributions

D.C. and G.M were equally responsible for performing the cell biology and biochemistry parts and prepared the figures. A.S performed the mass spectroscopy and R.S. supervised the work and wrote the article.

 

Statement of Ethics

The authors have no ethical conflicts to disclose.

 

Funding

This work was supported by grants from the Israel Science Fund (ISF, 540/04) and from the European Community's Sixth Framework Program project IST-2004-027265-SIMAP.

 

 

Disclosure Statement

 

The authors have no conflicts of interest to declare.

 

 

References

 

1 Wainstein E, Seger R: The dynamic subcellular localization of ERK: mechanisms of translocation and role in various organelles. Curr Opin Cell Biol 2016;39:15-20.
https://doi.org/10.1016/j.ceb.2016.01.007

 

2 Roskoski R, Jr.: ERK1/2 MAP kinases: structure, function, and regulation. Pharmacol Res 2012;66:105-143.
https://doi.org/10.1016/j.phrs.2012.04.005

 

3 Eblen ST: Extracellular-Regulated Kinases: Signaling From Ras to ERK Substrates to Control Biological Outcomes. Adv Cancer Res 2018;138:99-142.
https://doi.org/10.1016/bs.acr.2018.02.004

 

4 Yoon S, Seger R: The extracellular signal-regulated kinase: multiple substrates regulate diverse cellular functions. Growth Factors 2006;24:21-44.
https://doi.org/10.1080/02699050500284218

 

5 Wortzel I, Seger R: The ERK Cascade: Distinct Functions within Various Subcellular Organelles. Genes Cancer 2011;2:195-209.
https://doi.org/10.1177/1947601911407328

 

6 Plotnikov A, Zehorai E, Procaccia S, Seger R: The MAPK cascades: Signaling components, nuclear roles and mechanisms of nuclear translocation. Biochim Biophys Acta 2011;1813:1619-1633.
https://doi.org/10.1016/j.bbamcr.2010.12.012

 

7 Rubinfeld H, Hanoch T, Seger R: Identification of a cytoplasmic-retention sequence in ERK2. J Biol Chem 1999;274:30349-30352.
https://doi.org/10.1074/jbc.274.43.30349

 

8 Tanoue T, Nishida E: Docking interactions in the mitogen-activated protein kinase cascades. Pharmacol Ther 2002;93:193-202.
https://doi.org/10.1016/S0163-7258(02)00188-2

 

9 Bendetz-Nezer S, Seger R: Role of non-phosphorylated activation loop residues in determining ERK2 dephosphorylation, activity, and subcellular localization. J Biol Chem 2007;282:25114-25122.
https://doi.org/10.1074/jbc.M703120200

 

10 Bardwell L: Mechanisms of MAPK signalling specificity. Biochem Soc Trans 2006;34:837-841.
https://doi.org/10.1042/BST0340837

 

11 Lenormand P, Brondello JM, Brunet A, Pouyssegur J: Growth factor-induced p42/p44 MAPK nuclear translocation and retention requires both MAPK activation and neosynthesis of nuclear anchoring proteins. J Cell Biol 1998;142:625-633.
https://doi.org/10.1083/jcb.142.3.625

 

12 Jaaro H, Rubinfeld H, Hanoch T, Seger R: Nuclear translocation of mitogen-activated protein kinase kinase (MEK1) in response to mitogenic stimulation. Proc Natl Acad Sci USA 1997;94:3742-3747.
https://doi.org/10.1073/pnas.94.8.3742

 

13 Fukuda M, Gotoh I, Gotoh Y, Nishida E: cytoplasmic localization of mitogen-activated protein kinase kinase directed by its NH2-terminal, leucine-rich short amino acid sequence, which acts as a nuclear export signal. J Biol Chem 1996;271:20024-20028.
https://doi.org/10.1074/jbc.271.33.20024

 

14 Whitmarsh AJ: Regulation of gene transcription by mitogen-activated protein kinase signaling pathways. Biochim Biophys Acta 2007;1773:1285-1298.
https://doi.org/10.1016/j.bbamcr.2006.11.011

 

15 Reszka AA, Seger R, Diltz CD, Krebs EG, Fischer EH: Association of mitogen-activated protein kinase with the microtubule cytoskeleton. Proc Natl Acad Sci USA 1995;92:8881-8885.
https://doi.org/10.1073/pnas.92.19.8881

 

16 Fukuda M, Gotoh Y, Nishida E: Interaction of MAP kinase with MAP kinase kinase: its possible role in the control of nucleocytoplasmic transport of MAP kinase. EMBO J 1997;16:1901-1908.
https://doi.org/10.1093/emboj/16.8.1901

 

17 Blanco-Aparicio C, Torres J, Pulido R: A novel regulatory mechanism of MAP kinases activation and nuclear translocation mediated by PKA and the PTP-SL tyrosine phosphatase. J Cell Biol 1999;147:1129-1136.
https://doi.org/10.1083/jcb.147.6.1129

 

18 Morrison DK, Davis RJ: Regulation of MAP kinase signaling modules by scaffold proteins in mammals. Annu Rev Cell Dev Biol 2003;19:91-118.
https://doi.org/10.1146/annurev.cellbio.19.111401.091942

 

19 Wolf I, Rubinfeld H, Yoon S, Marmor G, Hanoch T, Seger R: Involvement of the activation loop of ERK in the detachment from cytosolic anchoring. J Biol Chem 2001;276:24490-24497 [Retracted article; for the retraction statement see https://www.jbc.org/content/292/21/8853.long].
https://doi.org/10.1074/jbc.M103352200

 

20 Chuderland D, Konson A, Seger R: Identification and characterization of a general nuclear translocation signal in signaling proteins. Mol Cell 2008;31:850-861.
https://doi.org/10.1016/j.molcel.2008.08.007

 

21 Zehorai E, Yao Z, Plotnikov A, Seger R: The subcellular localization of MEK and ERK--a novel nuclear translocation signal (NTS) paves a way to the nucleus. Mol Cell Endocrinol 2010;314:213-220.
https://doi.org/10.1016/j.mce.2009.04.008

 

22 Adachi M, Fukuda M, Nishida E: Nuclear export of MAP kinase (ERK) involves a MAP kinase kinase (MEK)-dependent active transport mechanism J Cell Biol 2000;148:849-856.
https://doi.org/10.1083/jcb.148.5.849

 

23 Seger R, Krebs EG: The MAPK signaling cascade. FASEB J 1995;9:726-735.
https://doi.org/10.1096/fasebj.9.9.7601337

 

24 Puertollano R, Ferguson SM, Brugarolas J, Ballabio A: The complex relationship between TFEB transcription factor phosphorylation and subcellular localization. EMBO J 2018;37:pii:e98804.
https://doi.org/10.15252/embj.201798804

 

25 Berridge MJ, Bootman MD, Roderick HL: Calcium signalling: dynamics, homeostasis and remodelling. Nat Rev Mol Cell Biol 2003;4:517-529.
https://doi.org/10.1038/nrm1155

 

26 Clapham DE: Calcium signaling. Cell 2007;131:1047-1058.
https://doi.org/10.1016/j.cell.2007.11.028

 

27 Agell N, Bachs O, Rocamora N, Villalonga P: Modulation of the Ras/Raf/MEK/ERK pathway by Ca(2+), and calmodulin. Cell Signal 2002;14:649-654.
https://doi.org/10.1016/S0898-6568(02)00007-4

 

28 Cullen PJ, Lockyer PJ: Integration of calcium and Ras signalling. Nat Rev Mol Cell Biol 2002;3:339-348.
https://doi.org/10.1038/nrm808

 

29 Xia Z, Dudek H, Miranti CK, Greenberg ME: Calcium influx via the NMDA receptor induces immediate early gene transcription by a MAP kinase/ERK-dependent mechanism. J Neurosci 1996;16:5425-5436.
https://doi.org/10.1523/JNEUROSCI.16-17-05425.1996

 

30 Ginnan R, Singer HA: CaM kinase II-dependent activation of tyrosine kinases and ERK1/2 in vascular smooth muscle. Am J Physiol Cell Physiol 2002;282:C754-761.
https://doi.org/10.1152/ajpcell.00335.2001

 

31 Murasawa S, Mori Y, Nozawa Y, Masaki H, Maruyama K, Tsutsumi Y, Moriguchi Y, Shibasaki Y, Tanaka Y, Iwasaka T, Inada M, Matsubara H: Role of calcium-sensitive tyrosine kinase Pyk2/CAKbeta/RAFTK in angiotensin II induced Ras/ERK signaling. Hypertension 1998;32:668-675.
https://doi.org/10.1161/01.HYP.32.4.668

 

32 Abraham ST, Benscoter HA, Schworer CM, Singer HA: A role for Ca2+/calmodulin-dependent protein kinase II in the mitogen-activated protein kinase signaling cascade of cultured rat aortic vascular smooth muscle cells. Circ Res 1997;81:575-584.
https://doi.org/10.1161/01.RES.81.4.575

 

33 Ebinu JO, Bottorff DA, Chan EY, Stang SL, Dunn RJ, Stone JC: RasGRP, a Ras guanyl nucleotide- releasing protein with calcium- and diacylglycerol-binding motifs. Science 1998;280:1082-1086.
https://doi.org/10.1126/science.280.5366.1082

 

34 Pouyssegur J, Volmat V, Lenormand P: Fidelity and spatio-temporal control in MAP kinase (ERKs) signalling. Biochem Pharmacol 2002;64:755-763.
https://doi.org/10.1016/S0006-2952(02)01135-8

 

35 Plotnikov A, Flores K, Maik-Rachline G, Zehorai E, Kapri-Pardes E, Berti DA, Hanoch T, Besser MJ, Seger R: The nuclear translocation of ERK1/2 as an anticancer target. Nat Commun 2015;6:6685.
https://doi.org/10.1038/ncomms7685

 

36 Khokhlatchev AV, Canagarajah B, Wilsbacher J, Robinson M, Atkinson M, Goldsmith E, Cobb MH: Phosphorylation of the MAP kinase ERK2 promotes its homodimerization and nuclear translocation. Cell 1998;93:605-615.
https://doi.org/10.1016/S0092-8674(00)81189-7

 

37 Fukuda M, Gotoh I, Adachi M, Gotoh Y, Nishida E: A novel regulatory mechanism in the mitogen-activated protein (MAP) kinase cascade. Role of nuclear export signal of MAP kinase kinase. J Biol Chem 1997;272:32642-32648.
https://doi.org/10.1074/jbc.272.51.32642

 

38 Rao VN, Reddy ES: elk-1 proteins interact with MAP kinases. Oncogene 1994;9:1855-1860.

 

39 Roux PP, Richards SA, Blenis J: Phosphorylation of p90 ribosomal S6 kinase (RSK) regulates extracellular signal-regulated kinase docking and RSK activity. Mol Cell Biol 2003;23:4796-4804.
https://doi.org/10.1128/MCB.23.14.4796-4804.2003

 

40 Cook SJ, Aziz N, McMahon M: The repertoire of fos and jun proteins expressed during the G1 phase of the cell cycle is determined by the duration of mitogen-activated protein kinase activation. Mol Cell Biol 1999;19:330-341.
https://doi.org/10.1128/MCB.19.1.330

 

41 Yung Y, Dolginov Y, Yao Z, Rubinfeld H, Michael D, Hanoch T, Roubini E, Lando Z, Zharhary D, Seger R: Detection of ERK activation by a novel monoclonal antibody. FEBS Lett 1997;408:292-296.
https://doi.org/10.1016/S0014-5793(97)00442-0

 

42 Cook SJ, McCormick F: Kinetic and biochemical correlation between sustained p44ERK1 (44 kDa extracellular signal-regulated kinase 1) activation and lysophosphatidic acid-stimulated DNA synthesis in Rat-1 cells. Biochem J 1996;320:237-245.
https://doi.org/10.1042/bj3200237

 

43 Lee ZW, Kweon SM, Kim BC, Leem SH, Shin I, Kim JH, Ha KS: Phosphatidic acid-induced elevation of intracellular Ca2+ is mediated by RhoA and H2O2 in Rat-2 fibroblasts. J Biol Chem 1998;273:12710-12715.
https://doi.org/10.1074/jbc.273.21.12710

 

44 Whitehurst AW, Wilsbacher JL, You Y, Luby-Phelps K, Moore MS, Cobb MH: ERK2 enters the nucleus by a carrier-independent mechanism. Proc Natl Acad Sci U S A 2002;99:7496-7501.
https://doi.org/10.1073/pnas.112495999

 

45 Matsubayashi Y, Fukuda M, Nishida E: Evidence for existence of a nuclear pore complex-mediated, cytosol-independent pathway of nuclear translocation of ERK MAP kinase in permeabilized cells. J Biol Chem 2001;276:41755-41760.
https://doi.org/10.1074/jbc.M106012200

 

46 Chuderland D, Seger R: Protein-protein interactions in the regulation of the extracellular signal-regulated kinase. Mol Biotechnol 2005;29:57-74.
https://doi.org/10.1385/MB:29:1:57

 

47 Lee T, Hoofnagle AN, Kabuyama Y, Stroud J, Min X, Goldsmith EJ, Chen L, Resing KA, Ahn NG: Docking motif interactions in MAP kinases revealed by hydrogen exchange mass spectrometry. Mol Cell 2004;14:43-55.
https://doi.org/10.1016/S1097-2765(04)00161-3

 

48 Bendetz-Nezer S, Seger R: Role of non-phosphorylated activation loop residues in determining ERK2 dephosphorylation, activity, and subcellular localization. J Biol Chem 2007;282:25114-25122.
https://doi.org/10.1074/jbc.M703120200

 

49 Sun H, Charles CH, Lau LF, Tonks NK: MKP-1 (3CH134), an immediate early gene product, is a dual specificity phosphatase that dephosphorylates MAP kinase in vivo. Cell 1993;75:487-493.
https://doi.org/10.1016/0092-8674(93)90383-2

 

50 Camps M, Chabert C, Muda M, Boschert U, Gillieron C, Arkinstall S: Induction of the mitogen-activated protein kinase phosphatase MKP3 by nerve growth factor in differentiating PC12. FEBS Lett 1998;425:271-276.
https://doi.org/10.1016/S0014-5793(98)00250-6

 

51 Leinweber BD, Leavis PC, Grabarek Z, Wang CL, Morgan KG: Extracellular regulated kinase (ERK) interaction with actin and the calponin homology (CH) domain of actin-binding proteins. Biochem J 1999;1:117-123.
https://doi.org/10.1042/bj3440117

 

52 Yu W, Fantl WJ, Harrowe G, Williams LT: Regulation of the MAP kinase pathway by mammalian Ksr through direct interaction with MEK and ERK. Curr Biol 1998;8:56-64.
https://doi.org/10.1016/S0960-9822(98)70020-X

 

53 Murphy LO, Smith S, Chen RH, Fingar DC, Blenis J: Molecular interpretation of ERK signal duration by immediate early gene products. Nat Cell Biol 2002;4:556-564.
https://doi.org/10.1038/ncb822

 

54 Zhang H, Shi X, Hampong M, Blanis L, Pelech S: Stress-induced inhibition of ERK1 and ERK2 by direct interaction with p38 MAP kinase. J Biol Chem 2001;276:6905-6908.
https://doi.org/10.1074/jbc.C000917200

 

55 Perlson E, Hanz S, Ben-Yaakov K, Segal-Ruder Y, Seger R, Fainzilber M: Vimentin-dependent spatial translocation of an activated MAP kinase in injured nerve. Neuron 2005;45:715-726.
https://doi.org/10.1016/j.neuron.2005.01.023

 

56 Habelhah H, Shah K, Huang L, Ostareck-Lederer A, Burlingame AL, Shokat KM, Hentze MW, Ronai Z: ERK phosphorylation drives cytoplasmic accumulation of hnRNP-K and inhibition of mRNA translation. Nat Cell Biol 2001;3:325-330.
https://doi.org/10.1038/35060131

 

57 Reiss N, Levi LN, Shacham S, Harris D, Seger R, Naor Z: Mechanism of mitogen-activated protein kinase activation by gonadotropin-releasing hormone in the pituitary of alphaT3-1 cell line: differential roles of calcium and protein kinase C. Endocrinology 1997;138:1673-1682.
https://doi.org/10.1210/endo.138.4.5057

 

58 Mulvaney JM, Zhang T, Fewtrell C, Roberson MS: Calcium influx through L-type channels is required for selective activation of extracellular signal-regulated kinase by gonadotropin-releasing hormone. J Biol Chem 1999;274:29796-29804.
https://doi.org/10.1074/jbc.274.42.29796

 

59 Naor Z, Benard O, Seger R: Activation of MAPK Cascades by G-protein-coupled Receptors: The Case of Gonadotropin-releasing Hormone Receptor. Trends Endocrinol Metab 2000;11:91-99.
https://doi.org/10.1016/S1043-2760(99)00232-5

 

60 Harris D, Chuderland D, Bonfil D, Kraus S, Seger R, Naor Z: Extracellular signal-regulated kinase and c-Src, but not Jun N-terminal kinase, are involved in basal and gonadotropin-releasing hormone-stimulated activity of the glycoprotein hormone alpha-subunit promoter. Endocrinology 2003;144:612-622.
https://doi.org/10.1210/en.2002-220690

 

61 Lee MA, Dunn RC, Clapham DE, Stehno-Bittel L: Calcium regulation of nuclear pore permeability. Cell Calcium 1998;23:91-101.
https://doi.org/10.1016/S0143-4160(98)90107-5

 

62 Erickson ES, Mooren OL, Moore D, Krogmeier JR, Dunn RC: The role of nuclear envelope calcium in modifying nuclear pore complex structure. Can J Physiol Pharmacol 2006;84:309-318.
https://doi.org/10.1139/y05-109

 

63 Adachi M, Fukuda M, Nishida E: Two co-existing mechanisms for nuclear import of MAP kinase: passive diffusion of a monomer and active transport of a dimer. EMBO J 1999;18:5347-5358.
https://doi.org/10.1093/emboj/18.19.5347