Review - DOI:10.33594/000000834
Accepted 4 December 2025 - Published online 16 December 2025

Advances in the Study of Bronchial and Vascular Architecture of Lungs in the Rat’s Model: from Morphogenesis to Disease Modelling

aDepartment of Cytology, Embryology and Histology of Azerbaijan Medical University, Baku, Azerbaijan,
bDepartment of Pharmacognosy of Azerbaijan Medical University, Baku, Azerbaijan,
cDepartment of Human Anatomy and Medical Terminology of Azerbaijan Medical University, Baku, Azerbaijan

Keywords

Abstract

Bronchial and vascular architecture in the rat lung forms an interdependent scaffold that balances ventilation with perfusion and adapts to metabolic demand. Development proceeds through coordinated branching programs that couple epithelial growth with vascular patterning while matrix remodeling and epithelial–mesenchymal crosstalk shape airway caliber and capillary alignment. Quantification has moved from classical design-based stereology to organ-scale µCT, optical clearing, and multiscale computational reconstructions that link structure to function. Across disease models, Chronic Obstructive Pulmonary Disease (COPD) and emphysema show distal airspace enlargement with vascular rarefaction, pulmonary hypertension (PH) features medial thickening and arteriolar muscularization, asthma combines epithelial remodeling with angiogenesis, and fibrosis exhibits collagen deposition with capillary regression. Convergent signaling networks integrate these changes, including VEGF and HIF pathways that govern angiogenesis, Notch and Wnt programs that regulate morphogenesis, and oxidative stress with cytokine and microRNA axes that drive vascular remodeling. Translational alignment is strengthened by single-cell and imaging biomarkers that map rat phenotypes to human pathology, while bioengineered platforms and in silico models provide controllable test beds for hypothesis testing. Predictive frameworks for remodeling across development and disease could be provided by standardized pipelines that combine morphometry, mechanics, and molecular profiles.

Introduction

The bronchial and vascular system of the lung ensures even ventilation and perfusion of the parenchyma [1]. Blood oxygenation occurs in the alveolar-capillary interface pulmonary vascular network, and the airflow is controlled by the bronchial tree [2]. Their interdependence in structure promotes effective gas exchange and adaptation to metabolic needs. The close spatial relationship between airway, vascular, lymphatic, and neural networks has also been demonstrated using high-resolution 3D imaging, highlighting the role of architectural integrity in promoting physiological resilience [3]. The study of both development and disease in mammalian lungs is based upon an understanding of these coupled systems.

The FGF10 FGFR2b signaling pathway is required to form lung airways, which is coordinated by biochemical cues and epithelial dynamics to form the hierarchical branching geometry that characterizes lung geometry [4]. The development of the vascular system occurs concurrently via endothelial-mesenchymal signaling, which guarantees the alignment with the airway tree [5]. Mechanistic theories, such as curvature-feedback through ERK, explain how the length and orientation of branches are regulated to achieve morphogenetic homeostasis, with comparative studies revealing that morphogenetic programs are adjusted to functional demands in different organs [6, 7].

The rat has been found to be a useful intermediate model due to its lung size, vascular structure, and hemodynamic accessibility; it has benefits over mice and retains experimental viability [8]. Postnatal µCT imaging indicates persistent alveolar and acinar remodeling, which allows better evaluation of developmental changes [9]. Its clinical value is highlighted by structural changes in heart failure and pulmonary hypertension [10]. The visualization of airway and vascular architecture is now done at high resolution with advanced μCT protocols and CT-based mapping [11, 12].

The recent innovations in stereology have enhanced the measurement of the lung compartments and have made the heterogeneous lesions to be sampled with precision [13]. The ex vivo lung perfusion is relevant to increase the physiological significance of structural evaluation [14]. Whole lung visualization is now achieved at the micron level using the techniques of tissue-clearing and 3D microscopy [15], and high-resolution histological reconstructions that consider the information about gene expression and spatial organization provide new information about the biological process [16]. All these innovations have transformed structural mapping of the rat lung and made it more useful in developmental and disease modeling.

Even though there are significant improvements, there are still gaps in knowledge. The majority of developmental research is based on mice, and rat data are still scarce, even though they are more physiologically similar to humans [17]. The research on airway or vascular remodeling is frequently studied in isolation from each other as opposed to coordinated structural systems [18]. Perfusion pressures and contrast techniques influence distal vascular accuracy, whereas 3DCT and tissue clearing have enhanced visualization [19, 20]. The heterogeneous lesions might be undersampled during the stereological analyses, and thus there is a need to use adaptive sampling and standardised imaging protocols [19]. As a result, there is no single synthesis of morphogenesis, structural mapping, and disease remodeling of rat lungs.

The review is a synthesis of bronchial and vascular architecture of the rat lung with focus on developmental organization, structural interdependence, and pathological remodeling. It combines morphometric, computational, and advanced imaging methods, such as µCT, optical clearing, and corrosion casting, to address discrepancies and explain the shortcomings of methods. Consolidation of the structural baseline can increase the reproducibility, increase comparisons between developmental and disease states, and better translational modeling of airway-vascular coupling. The review offers a consistent framework to answer the major conceptual and methodological gaps in the existing rat lung studies by integrating insights on normal morphogenesis and disease-related remodeling.

The review was created with the help of a narrow literature search of PubMed, Scopus, and Web of Science databases during the period between 2015 and 2025. General search combinations were used in identifying relevant studies, based on rat lung development, bronchial and vascular architecture, imaging modalities, molecular regulation, and experimental disease models. Articles that used rat lungs in imaging studies, translational experimental reports, and other structurally or mechanistically focused studies were selected, and those that lacked structural or mechanistic relevance were excluded. Citation tracking of important publications was used to add more sources. This method guaranteed the full coverage of developmental, imaging-based, molecular, and pathological factors of rat pulmonary architecture.

Developmental Morphogenesis of Rat Lung Architecture

Embryonic and Postnatal Lung Development
Rats pass through the pseudoglandular, canalicular, saccular, and alveolar phases of lung development, whereby the vascular and bronchial systems develop simultaneously to create a highly branched respiratory network. Bifurcation of airways starts at the lung buds and continues with the growing vascular plexus, which eventually develops into a hierarchical arteriovenous system [21]. Though the imaging techniques like µCT give insight into development, the fundamental process is the coordinated growth of bronchial branches and vascular structures that allow efficient respiratory architecture [22]. Models of cross-species organoid and pluripotent stem cells indicate that cardiopulmonary co-development is conserved, with epithelial and endothelial differentiation having to proceed in parallel to reach functional maturation [23]. VEGF is a key mediator of vascular bed development, and VEGF signaling defects have great consequences on alveolarization and vessel branching [24, 25]. VEGF deficiency or hypoxic stress impedes the development of the distal vessels' arborization and septation, which supports the dependence of both epithelial and vascular growth in morphogenesis [26]. Branching of the airways involves the involvement of fibroblast growth factor 10 (FGF10) and its receptor FGFR2b, and the change in these signals can change vascular alignment indirectly by regulating epithelial geometry [27]. In prenatal and postnatal stages, epithelial-mesenchymal crosstalk is proportionately controlled by signaling pathways, including SHH, WNT, and TGF-β [28, 29]. Notch-dependent signaling also enhances airway and vascular patterning through the preservation of coherent growth and the regulation of epithelial cell fate [30]. Integrative studies reveal that airway branching and vascular patterning are mutually instructive processes, with endothelial cues regulating airway topology and vice versa [31-34]. Collectively, these processes suggest that the morphogenesis of the rat lung is a highly coordinated process that is influenced by molecular gradients, juxtacrine signaling, and mechanical forces.

Cellular and Extracellular Matrix Dynamics
Morphogenesis of rat lungs involves the maintenance of constant contact between the mesenchymal and epithelial cells that form future bronchial and vascular tissues. Epithelial-mesenchymal interactions control the smooth muscle investment, angle of branching, and differentiation based on the reciprocity of a growth factor, matrix remodeling, and mechanical tension signaling loops [35, 36]. The extracellular matrix (ECM) is a structural scaffold and a signaling platform that promotes alveolarization and septation [37]. The adhesion between epithelial stability and basement membrane integrity is mediated by integrin and ensures structural maturation and controls inflammatory homeostasis [38]. The stabilization of developing vessels by paracrine signals of pericytes and fibroblasts, the dynamic response of endothelial cells to matrix stiffness and architecture, controls capillary sprouting and arteriovenous differentiation [39]. The ECM, which consists of collagens, elastin, fibronectin, and laminin, develops during both prenatal and postnatal stages to assist in alveolar recoil characteristics and growth, which is necessary for effective ventilation [40]. On the whole, the ECM dynamics combine with the epithelial and mesenchymal signaling to develop mechanically stable but flexible airway and vascular systems.
The results of rat development should be viewed with caution since the variation in the pattern of branching and vascular alignment between strains provides variability in studies [22]. Also, integrative analyses show that epithelial-endothelial coordination is very context-dependent and thus observations made with one rat strain cannot necessarily be reliably generalized to other species or experimental conditions [31].
Coordinated airway and vascular development during different embryonic and postnatal development stages determines rat lung morphogenesis, which is regulated by reciprocal epithelial-endothelial signaling and highly controlled molecular pathways that determine patterns of branching and vascular alignment. Mechanobiological cues, the extracellular matrix, also contribute to structural support and guide maturation of the alveoli and vascular. The combination of these processes of development forms the primary bronchial-vascular architecture that forms the basis of subsequent functional performance and remodeling pathology.

Imaging and Quantitative Approaches

Classical Histomorphometry and Stereology
Histomorphometric and stereological methods have long been used in the quantitative evaluation of lung structure, which offers objective and reproducible estimates of airway and vascular parameters of fixed tissue specimens. To close the divide between architectural design and gas-exchange efficiency, first, stereological models were created to measure the alveolar volume, surface area, and capillary density [41]. Design-based stereology is still a major method used in the measurement of microvascular and bronchial architecture of rat lungs and can be reproducibly used in both developmental and pathological models. The finesse of the stereological concepts of rodents has now allowed the detailed description of the microvascular branching, the thickness of the vessel walls, and the size of the bronchial lumen in physiological and disease states [42]. Stereology, when used together with systematic uniform random sampling, removes the distortions of two-dimensional histology and provides statistically representative estimates of three-dimensional quantities [43]. In order to improve precision between tissue hierarchies, recent methods combine computed tomography with histological sections to produce multiscale datasets to be used in stereological computation [44]. Stereology remains a valid method of measuring vascular rarefaction, interstitial expansion, and bronchial remodeling in experimental rat preparations and normal lung tissue [45]. Modern multiresolution workflows can be used to take the classical stereological paradigm and transform it into a single system of analysis that allows hierarchical measurements across scales by using macroscopic volumetric data as well as microscale quantification [46]. Even though classical stereology is still destructive, it is still regarded as the gold standard of volumetric calibration of digital imaging results in rat morphometric studies [47].

Modern 3D and In vivo Imaging
Recent advances in technology have changed the two-dimensional histology of the lungs into a three-dimensional volumetric analysis of intact rat lungs, which is dynamic. The micro-computed tomography (Micro-CT or µCT) enables the determination of airway diameter, vessel density, and branching geometry at a resolution of micrometers across entire volumes of lungs [48]. Precise reconstruction of the microvasculature of the lungs can be obtained in case of proper control of perfusion pressures and contrast enhancement, and almost native visualization of the arterial and venous hierarchies can be achieved [49]. Optical clearing and light-sheet microscopy can be used as a complement to µCT, allowing mapping microvascular-bronchial relationships at a fine scale in transparent, fluorescently stained rat lungs [50]. Improvements in aerosol-based clearing techniques currently allow longitudinal imaging of the inflammatory and infectious events in vivo with enhanced imaging penetration and temporal resolution [51]. Multiscale three-dimensional imaging systems combine both the macrovascular and microvascular data to produce organ-scale views of the bronchial and vascular hierarchies [52]. Computational modeling also improves such datasets through digital reconstruction of vascular networks and bronchial patterns of branching, which allows simulation of the interactions between hemodynamics and ventilatory conditions relevant to physiology [53]. These virtual lung models accurately recreate in vivo mechanical conditions with experimentally obtained values of pulmonary volume, pressure, and strain [54]. In fetal morphometry and developmental toxicology, it has been shown that volumetric imaging and µCT are capable of detecting small changes in airway and vascular development, which can be used to give quantitative measures of translational development [55]. High-resolution imaging, optical clearing, and computational modeling are a complete paradigm that brings together structural quantification, spatial organization, and predictive simulation.
Imaging and stereological techniques, although positive, have significant drawbacks. Stereological estimates are also prone to sampling strategy and inflation bias, which may create systematic variability among laboratories [43]. Perfusion pressure and uniformity of contrast are the key factors affecting the accuracy of µCT, which leads to inconsistent visualization of distal vessels across studies [49].
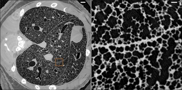
Stereology and µCT are the gold standard of volumetric and vascular reconstruction accuracy, and quantitative imaging modalities differ in the resolution of analysis at the morphometric scales (Table 1). Fig. 1 represents the workflow of the imaging and quantitative methods that were employed to analyze the morphometry of rat lungs. Fig. 2 [53] illustrates an example of high-resolution whole-lung reconstruction of a µCT of bronchial vascular architecture of intact rat lungs. The left panel is the horizontal slice of µCT that illustrates the global airway and parenchymal architecture of the rat lung, and the right one is the magnified view of the boxed area, which represents the detailed microstructure of the alveoli and acinar.
Multi-scale reconstruction of rat bronchial and vascular architecture can be done using imaging and quantitative methods - classical stereology to µCT and light-sheet microscopy. The gold-standard validation framework is provided by stereology, and the high-resolution structural mapping of organs in a comprehensive manner is offered by modern 3D imaging. Computational modeling goes a step further to combine these datasets and simulate physiological interactions, and improve interpretability. These instruments are collectively a consistent system of quantitative tools necessary to research development, remodeling, and disease in rat lungs.

...

Table 1: Comparative Overview of Quantitative Imaging and Analytical Techniques in Rat Lung Architecture Studies


...

Fig. 1: Workflow of Imaging and Quantitative Approaches in Rat Lung Morphometry.


...

Fig. 2: Micrometer-resolution X-ray micro-CT of an intact post-mortem juvenile rat lung (reproduced from ref. [53], under CC BY 4.0 license).


Experimental Models of Lung Diseases in Rats

Models of Chronic Obstructive Pulmonary Disease (COPD) and Emphysema
The analysis of structural and vascular alterations underlying progressive airflow limitation with the help of experimental rat models of emphysema and chronic obstructive pulmonary disease (COPD) has been critical. Human COPD is characterized by the destruction of the alveoli and small airway remodeling, which are recapitulated by the classical induction methods, including cigarette smoke or proteolytic agent exposure [56]. These rats exhibit the progressive emphysematous changes, which, according to longitudinal modeling, include the quantifiable loss of parenchymal elasticity and capillary rarefaction, which follow the progression of human disease [57]. Morphometric studies demonstrate that there is an increase in the size of distal airspaces, alveolar septa become thin, and the surface area of capillaries is reduced, which increases dead space and reduces the efficiency of gas-exchange [58]. Injury in neonatal and juvenile rats caused by hyperoxia induces the same structural continuum, alveolar simplification, and vascular rarefaction occurring concurrently [59]. Combined COPD-cor pulmonale models also enable concurrent evaluation of right ventricular adaptation and pulmonary vascular remodeling, which enhances the structure-function relationships with chronic airflow limitation [60]. The characteristic architectural alterations, including thickening of the small airway walls, loss of the distal vascular density, and altered smooth-muscle organization, which are highly reminiscent of airway-vascular coupling disruptions seen in human COPD, are also identified in smoke-exposure models [61]. Taken together, these rat models are a good representation of the morphometric and hemodynamic characteristics of COPD, which allows interventions to be controlled to protect airways and vascular integrity.

Pulmonary Hypertension and Vascular Remodeling
The rat model of pulmonary hypertension (PH) is a well-defined model for studying vascular structural remodeling. Chronic hypoxia or chemical agents like monocrotaline or Sugen cause prolonged increases in pulmonary arterial pressure, which in turn leads to the medial hypertrophy, adventitial thickening, and muscularization of the distal arteries [62]. The reversal of neointimal proliferation by therapeutic studies such as paclitaxel-based interventions demonstrates the structural reversal of neointimal proliferation, which highlights the usefulness of PH models in testing anti-remodeling strategies [63]. The Sugen-hypoxia model allows cardiac magnetic resonance imaging to be used to allow longitudinal evaluation of biventricular structural and functional responses, correlating right-heart responses with pulmonary vascular load [64]. Despite the fact that this model mainly reflects severe pulmonary arterial hypertension, related parenchymal injury, and mild patterns of emphysema indicates the structural interaction between vascular and airway compartments in the advanced disease [65]. Collectively, these PH models offer critical information about the thickening of the vascular, the stiffening of the vessel, and the hierarchical remodeling of the pulmonary arterial tree.

Asthma and Inflammatory Models
Rat models of asthma and allergic airway inflammation are the focus of structural interaction between immune activation, angiogenesis, and airway remodeling. Ovalbumin or house-dust-mite antigen sensitization results in reproducible airway hyperresponsiveness that is associated with vascular proliferation and deposition of extracellular matrix in the peribronchial region [66]. Histologically, neovascularization, goblet-cell hyperplasia, and epithelial basement-membrane thickening are always evident, and they represent the organized remodeling of vascular, mesenchymal, and epithelial compartments [67]. Interventional models of allergic inflammation indicate that structural outcomes, including decreased peribronchial vessel density or decreased smooth-muscle thickening, can be measured quantitatively in these models, which validates their usefulness in the testing of remodeling-directed therapies [68]. The models of asthma also demonstrate the presence of expanded bronchial vascular plexus and the change in vessel permeability that leads to the thickening of the airway wall and the narrowing of the lumen [69]. Taken together, these inflammatory models offer a reproducible model of evaluation of airway and vascular remodeling in an allergic state.

Fibrosis and Acute Lung Injury
Experimental models of fibrosis and acute lung injury are essential for understanding the structural distortion and reparative vascular responses that are related to chronic lung disease. Activation of macrophages, cytokine release, and matrix deposition in response to exposure to toxicants or hypoxia is highly reminiscent of human interstitial fibrosis [70]. Experiments of smoke-induced injury indicate that corticosteroid timing and dose affect vascular remodeling, collagen turnover, and final fibrotic phenotype, highlighting the structural plasticity of injured lung tissue [71]. Models based on bleomycin are still the gold standard as they offer quantitative data of anti-fibrotic activity and architectural recovery [72]. The association between oxidative stress, vascular leakage, and endothelial barrier disruption is further demonstrated using ischemia-reperfusion injury models, which can be prevented through antioxidant therapy, including edaravone [73]. Natural and synthetic interventions, such as resveratrol nano-capsules and crocin, have been demonstrated to inhibit fibrosis, inflammation, and vascular dysfunction, which contributes to their possible therapeutic significance [74, 75]. These models taken together describe the cascade of events of epithelial injury, vascular repair, and matrix remodeling that control chronic fibrotic progression.
Despite the numerous structural parallels of COPD and fibrosis, rat disease models are based on induced injuries, which may not completely recapitulate the heterogeneous, slow progression of human disease [56]. Equally, fibrosis induced by bleomycin causes homogenous parenchymal damage, unlike the focal and heterogeneous injury in the clinical presentation [72].
In structural remodeling, several of the conserved signalling cascades integrate fibrotic, inflammatory, and angiogenesis (Table 2), reflecting the molecular interdependency of the vascular and bronchial systems. Fig. 3 demonstrates the grouping of experimental rat models and the structural changes that occur in them.
Rat models of COPD, pulmonary hypertension, asthma, and fibrosis reproduce specific patterns of airway and vascular remodeling that are highly similar to human disease. Their structural effects, such as destruction of alveoli, vascular rarefaction, arterial thickening, neovascularization, and matrix deposition, allow accurate morphometric evaluation in disease conditions. Architectural variations of the models are also effective in offering a solid platform for assessing treatments that focus on airway and vascular integrity. These experimental systems as a whole constitute a complete structural toolkit to study pathological remodeling in the rat lung.

...

Table 2: Key Molecular Pathways and Signaling Axes Governing Pulmonary Architectural Remodeling in Rats


...

Fig. 3: Classification of Experimental Rat Models and Associated Structural Alterations.


Molecular Pathways Governing Architectural Remodeling

Key Angiogenic and Morphogenetic Pathways
In the rat lung, morphogenesis of the bronchial and vascular systems is tightly controlled by conserved molecular pathways incorporating hypoxic, angiogenic, and developmental cues. Notch signaling is a key orchestrator of endothelial specification and vascular hierarchy, in which it keeps the tip-stalk cell differentiation balanced in sprouting angiogenesis [76]. VEGF/PI3K/Akt cascade activation restores the endothelial functional activity and decreases pulmonary arterial thickening in COPD-induced vascular remodeling, which is associated with metabolic control and angiogenic competence [77]. Hypoxia-inducible factor-1α (HIF-1α) pathway is an oxygen-sensing regulator that links hypoxic conditions to vascular growth, and its malfunctioning leads to the excessive muscularization of pulmonary hypertension [78]. Endothelial-derived angiocrine factors also influence epithelial branching and alveolar maturation, highlighting reciprocal vascular–airway communication during development and repair [79]. Interactions between PPARγ and Wnt/β-catenin signaling guide epithelial differentiation and vascular alignment, and imbalances among these networks contribute to pathological architectural remodeling [80]. VEGF, HIF-1α, Notch, and Wnt signaling constitute an integrated regulatory axis that regulates angiogenesis, epithelial-vascular interactions, and tissue homeostasis in normal and disease lung [81].

Inflammatory and Oxidative Mechanisms in Vascular Remodeling
Redox-responsive pathways and reactive oxygen species (ROS) are significant regulators of inflammatory and structural remodeling in rat models of pulmonary disease. Mitochondrial dysfunction, endothelial apoptosis, and perivascular inflammation are sustained by prolonged oxidative stress in pulmonary hypertension and remodel the vascular wall [82]. Chronic redox imbalance may trigger endothelial-to-mesenchymal transition, leading to adventitial fibrosis and microvascular obliteration, which resembles human pulmonary pathology [83]. Inflammatory cytokine activation—particularly within the NF-κB/TNF-α axis—exacerbates vascular injury and promotes smooth-muscle hypertrophy and intimal thickening in hypoxia-induced models [84]. Chronic hypoxia induces the upregulation of microRNA-150 that suppresses vascular remodeling through inhibiting profibrotic and inflammatory cascades, which rejuvenate endothelial functions and pulmonary hemodynamics [85]. All these processes indicate that there is close molecular interaction between oxidative stress, cytokine release, and regulation by microRNAs in adaptive and maladaptive remodeling of the pulmonary vasculature.

Genetic and Epigenetic Regulation of Remodeling
Genetic and epigenetic changes are increasingly recognized as key determinants in the transition from reversible injury to chronic pulmonary remodeling. Histone acetylation and methylation control transcriptional reactions to oxidative injury and vascular pathology, and environmental stressors promote dynamic histone chromatin remodeling in rat models of fibrosis and pulmonary hypertension [86]. Long non-coding RNAs and microRNAs have been shown to regulate vascular contractility and endothelial differentiation, and experimental manipulation of these RNAs has been shown to change the course of disease in rat pulmonary arterial hypertension models [87]. In chronic thromboembolic pulmonary hypertension, transcriptomic studies indicate that the patterns of gene-expression differences that regulate extracellular-matrix turnover, angiogenesis, and inflammation are heritable reprogramming of vascular and interstitial cell fate [88]. Fibroblast reprogramming studies of rodent tissues have shown that intermediate trans-endothelial-like states can increase reparative capacity, which can inform us about the mechanisms underlying structural regeneration [89]. Chromatin data of the rat parenchymal disease models on a genome-wide scale also show reproducible epigenetic signatures of vascular distortion and fibrotic development [90]. Taken together, these results indicate that genetic, epigenetic, and transcriptional regulators combine with environmental and molecular signals to determine the pathway of pulmonary architectural remodeling.
Although rat models have helped to elucidate many signaling pathways, there are still a number of translational differences. Hypoxia-regulated HIF-1α signaling differs in magnitude between species, influencing vascular-proliferative responses [78], while inflammatory pathways such as NF-κB/TNF-α activation may be exaggerated in rodent models relative to chronic human disease [84].
Angiogenic, inflammatory, and fibrotic responses are interconnected through several conserved signaling cascades in the process of structural remodeling (Table 3), which indicates the molecular interdependence of bronchial and vascular systems.
Key molecular pathways—including VEGF, HIF-1α, Notch, and Wnt/β-catenin—form a coordinated regulatory axis controlling angiogenesis and airway–vascular alignment. Maladaptive vascular remodeling is also further promoted by oxidative stress, cytokine signaling, and microRNA networks in various models of rat disease. Long-term changes in vascular and interstitial cell fate are determined by genetic and epigenetic regulators, including chromatin modulations and non-coding RNAs. A combination of these molecular systems describes the convergence of the inflammatory, angiogenic, and fibrotic responses to generate the structural remodeling.

...

Table 3: Structural Remodeling Patterns Across Experimental Rat Models of Lung Disease


Integrative Translational Perspectives

Translational Relevance of Rat Pulmonary Architecture
The rat lung model has significant translational potential and offers a mechanistic understanding of clinical importance because it is closely physiologically similar to the human pulmonary system. The analysis of the single-cell gene expression and remodeling in the rat lungs is comparable to the results of human pulmonary arterial hypertension, showing that there is a shared vascular pathobiology [91]. Translational fidelity is also confirmed with aerosol-based inhalation studies, whereby the dynamics of droplet transport, deposition, and clearance scales between rat and human airway geometries can be predicted [92, 93]. Precision-cut lung slices have demonstrated that rat pulmonary tissue mimics human xenobiotic enzymatic profiles and thus can be used in preclinical drug-safety testing [94]. Also, multifaceted models of pulmonary hypertension and right-ventricular remodeling in rats recapitulate experimentally determined hemodynamic and architectural patterns, which can be used to extrapolate therapeutic targets and strategies [95]. Taken together, this establishes that the rat offers a physiologically healthy platform that connects preclinical mechanistic data to human lung pathophysiology.

Integrating Morphometric and Molecular Frameworks for Precision Modeling
The rat lung has turned out to be a useful platform to combine molecular and structural data, which are fueled by multimodal imaging and omics technologies. Quantitative morphometric analysis, which is coupled with high-resolution imaging, provides reproducible spatial measures of airways, vessels, and parenchyma that are translational biomarkers of emphysema and pulmonary fibrosis [96, 97]. Three-dimensional reconstruction and optical imaging methods directly observe multiscale structural remodeling and also record molecular correlates of inflammation and tissue repair [98]. Regional density and vascular tortuosity are imaging biomarkers that have a strong association with histopathological severity in rat models and parallel imaging phenotypes in human interstitial lung disease [99]. Computational registration and cross-species anatomical mapping improve comparative knowledge of bronchiolar and lobular structure in rodents and humans [100]. Transcriptomic analysis of rat and human airway epithelium also shows that there is a conserved gene-network regulation of epithelial differentiation and immune responses [101, 102]. A combination of these integrative approaches combines molecular profiling with quantitative morphometry to produce reproducible, cross-compatible data sets that enhance translational pulmonary modeling.

Computational Extrapolation and Cross-Species Validation
Computational models are increasingly allowing one to extrapolate rat data to human respiratory states. Now species-agnostic comparisons of lung cell populations can be made using single-cell atlases and transcriptomic mapping, which can be used to predict species-conserved vascular-signaling and matrix-remodeling pathways [103, 104]. Simulations in silico are reliable predictors of particle transport, dose distribution, and deposition efficiency when flow dynamics and airway geometries of rats are scaled to human conditions [105]. Combining computational results with morphometric and molecular data can be used to create digital lung twins that can recreate physiologic behavior across species. The use of these models in comparison to empirical data of rat and human systems improves algorithms to predict gas exchange, mechanical stress, and drug-absorption profiles. This integration of computational surrogate and biological validation makes the rat model a predictive translational system rather than a descriptive experimental system, and makes it more relevant to accurate respiratory research.
Although there are strong parallels in the translation, species-specific differences do not allow direct extrapolation of rat-based results. Single-cell studies indicate partial but not complete correspondence of rat and human vascular signaling networks [91], and xenobiotic metabolism, while broadly similar, still differs in key enzyme pathways relevant for drug-response prediction [94].
Rat lungs exhibit physiological, metabolic, and structural characteristics that are highly similar to those of the human lungs, which makes them highly translational. A combination of morphometric data and molecular and imaging-based analyses would allow cross-species biomarkers of structural lung disease to be reproducible. Predictions of gas exchange, airflow dynamics, and drug delivery are also enhanced with the help of computational scaling and digital models of lung twins. Collectively, these strategies make the rat a strong translational tool between the experimental results and the human pulmonary pathophysiology.

Emerging Technologies in Pulmonary Structural Analysis

Advanced Imaging and Quantitative Modeling
Recent breakthroughs in quantitative modeling and computational imaging have revolutionized the study of pulmonary structure and vascular remodeling using rat models, where µCT imaging can be used to visualize microvascular adaptation to hemodynamic or hypoxic stress with high spatial resolution, and the patterns of remodeling heterogeneity can be used to better understand cardiopulmonary coupling in pulmonary hypertension [107]. Computational models that take morphometric inputs reproduce airflow distribution, pressure gradient, and vascular resistance through fluid dynamics and tissue deformation simulation of the rat lung [108]. Such combined approaches combine both anatomical measurements and functional performance to improve the accuracy of preclinical disease modeling and therapeutic assessment.

Bioengineered Lung Models and Translational Interfaces
Microengineered bio-platforms have become capable of recreating key rat lung biomechanical and microvascular physiological features. Lung-on-chip and 3D-printed scaffolds are alveolar-capillary interfaces re-engineered with microfluidic channels covered with epithelial and endothelial cells, and allow dynamic modeling of inflammatory, fibrotic, or mechanical stimuli [109]. These devices can manipulate airflow, perfusion, tissue stretch, and gas-exchange parameters in a controlled manner, usually based on imaging-based templates of rat lung architecture. These bioengineered systems can be used to support physiologically relevant testbeds, which can be used to further preclinical validation of molecular and pharmacologic intervention and translational alignment between human pathology and rat in vivo experiments.

Integrative Systems Biology and Predictive Analytics
The imaging, molecular, and computational datasets are becoming more and more integrated into systems biology approaches to produce predictive frameworks of pulmonary remodeling. Data integration using artificial intelligence links structural, transcriptional, and metabolic networks together, providing a mechanistic understanding of inflammation, fibrosis, and angiogenesis [110]. These models integrate multi-omics data with morphometric data to project architectural changes in both development and disease. The integration of digital morphometry and systems-level models provides a platform of accurate and multiscale predictions of lung behavior and facilitates the design of interventions.

Future Directions in Technological Integration
Further convergence of systems biology, computational modeling, and state-of-the-art imaging will be useful in future pulmonary structural studies. Dynamic analysis of the co-evolution of airway branching and vascular remodeling throughout disease progression will be possible using high-resolution visualization with biomechanical and molecular data. Creating open-access, standardized morphometric and multi-omics data repositories will enhance reproducibility and translational applicability between rat models and human experiments. The combination of digital simulations and bioengineered organ-level systems into predictive multiscale models is the next step in the analysis of pulmonary structure, which correlates structure, function, and molecular regulation at never-before-seen levels. The directions in this field are new and summarized in Fig. 4.
New technologies are still limited to methodological inconsistency, with µCT segmentation and quantification being reliant on the calibration of scanners and perfusion status [107], and computational simulations being susceptible to minor morphometric errors, which can cause a considerable change in the distribution of predicted airflow or pressure [108].
The high-precision analysis of rat lung structure is now possible due to the use of advanced µCT imaging, computational modeling, and multiscale reconstruction. Physiologic microenvironments, such as lung-on-chip systems, are bioengineered platforms that are used to improve preclinical modeling and translational testing. The integration of morphometric and molecular data by systems biology and AI also produces predictive and cross-scale models of lung remodeling. Further advancements will be based on integrating digital simulations, high-resolution images, and open-access data to enhance translational relevance.

...

Fig. 4: Future Directions in Pulmonary Structural Research.


Conclusion

The rat lung is an immensely informative model for studying the coordinated architecture of bronchial and vascular systems throughout development and pathology. The development of imaging, stereology, and molecular profiling has enhanced the knowledge of the interaction and remodeling of these compartments in diseases like fibrosis, pulmonary hypertension, and airway injury. The combination of morphometric accuracy with molecular and computational data is now used to improve the predictive and translational usefulness of rat studies. Further advancements in the standardization of imaging, multiscale data analysis, and analytical processes will enhance the usefulness of this model as an essential linkage between experimental discovery and human pulmonary biology.

Acknowledgements

The authors gratefully acknowledge the support of the Department of Cytology, Embryology, and Histology; Department of Pharmacognosy as well as the Department of Human Anatomy and Medical Terminology at Azerbaijan Medical University, Baku, for providing institutional assistance and access to academic resources. The authors also extend their appreciation to colleagues whose insights and constructive discussions contributed to the refinement of this review.

Author Contributions
Aliyarbayova Aygun Aliyar: Conceptualization, Supervision, Writing– original draft, Correspondence; Aliyeva Sanam Eldar: Literature review, Critical evaluation of studies, Writing –review & editing ; Shukurova Ayten Sadig: Thematic synthesis, Manuscript organization, Editing. Gasimova Tarana Mubariz: Conceptual input, Structural refinement, Proofreading; Mustafayeva Nigar Adil: Review of recent literature, Reference verification, Editing; AliyevaSabina Aydın: Manuscript formatting, Visualization, Proofreading.

Funding Sources
This review did not receive any specific grant from funding agencies in the public, commercial, or not-for-profit sectors.

Statement of Ethics
This article is based on previously published studies and does not involve any new experiments with human participants or animals performed by any of the authors.

Disclosure Statement

The authors declare no conflicts of interest regarding the publication of this review article.

References

1 Mühlfeld C. Stereology and three-dimensional reconstructions to analyze the pulmonary vasculature. Histochemistry and Cell Biology. 2021 Aug;156(2):83-93.
https://doi.org/10.1007/s00418-021-02013-9
2 Hopkins SR, Stickland MK. The pulmonary vasculature. InSeminars in respiratory and critical care medicine 2023 Oct (Vol. 44, No. 05, pp. 538-554). Thieme Medical Publishers, Inc..
https://doi.org/10.1055/s-0043-1770059
3 Zhao S, Cui J, Wang Y, Xu D, Su Y, Ma J, Gong X, Bai W, Wang J, Cao R. Three-dimensional visualization of the lymphatic, vascular and neural network in rat lung by confocal microscopy. Journal of Molecular Histology. 2023 Dec;54(6):715-23.
https://doi.org/10.1007/s10735-023-10160-7
4 Jones MR, Chong L, Bellusci S. Fgf10/Fgfr2b signaling orchestrates the symphony of molecular, cellular, and physical processes required for harmonious airway branching morphogenesis. Frontiers in Cell and Developmental Biology. 2021 Jan 12;8:620667.
https://doi.org/10.3389/fcell.2020.620667
5 El Agha E, Iber D, Warburton D. Branching Morphogenesis During Embryonic Lung Development. Frontiers in Cell and Developmental Biology. 2021 Jul 12;9:728954.
https://doi.org/10.3389/fcell.2021.728954
6 Hirashima T, Matsuda M. ERK-mediated curvature feedback regulates branching morphogenesis in lung epithelial tissue. Current Biology. 2024 Feb 26;34(4):683-96.
https://doi.org/10.1016/j.cub.2023.12.049
7 Lang C, Conrad L, Iber D. Organ-specific branching morphogenesis. Frontiers in Cell and Developmental Biology. 2021 Jun 7;9:671402.
https://doi.org/10.3389/fcell.2021.671402
8 Cantor, J. (2025). Rodent Models of Lung Disease: A Road Map for Translational Research. International Journal of Molecular Sciences, 26(17), 8386.
https://doi.org/10.3390/ijms26178386
9 Haberthür D, Yao E, Barré SF, Cremona TP, Tschanz SA, Schittny JC. Pulmonary acini exhibit complex changes during postnatal rat lung development. PLoS One. 2021 Nov 8;16(11):e0257349.
https://doi.org/10.1371/journal.pone.0257349
10 Jasińska-Stroschein M. An updated review of experimental rodent models of pulmonary hypertension and left heart disease. Frontiers in Pharmacology. 2024 Jan 8;14:1308095.
https://doi.org/10.3389/fphar.2023.1308095
11 Napieczyńska, H., Kedziora, S. M., Haase, N., Müller, D. N., Heuser, A., Dechend, R., & Kräker, K. (2024). μCT imaging of a multi-organ vascular fingerprint in rats. PLoS One, 19(10), e0308601.
https://doi.org/10.1371/journal.pone.0308601
12 Rekabdar T, Yousefi M, Masoudifard M, Zehtabvar O, Ahmadpanahi SJ. Computed Tomographic Anatomy and Topography of the Lower Respiratory System of the Mature Rat (Rattus norvegicus). Archives of Razi Institute. 2024 Oct 31;79(5):981.
https://doi.org/10.32592/ARI.2024.79.5.981
13 Mühlfeld C, Schipke J, Labode J, Ochs M. Targeted stereology: sampling heterogeneously distributed structures and lesions in the lung. American Journal of Physiology-Lung Cellular and Molecular Physiology. 2024 Aug 1;327(2):L258-65.
https://doi.org/10.1152/ajplung.00321.2023
14 Wang A, Ali A, Keshavjee S, Liu M, Cypel M. Ex vivo lung perfusion for donor lung assessment and repair: a review of translational interspecies models. American Journal of Physiology-Lung Cellular and Molecular Physiology. 2020 Dec 1;319(6):L932-40.
https://doi.org/10.1152/ajplung.00295.2020
15 Susaki EA. Unlocking the potential of large-scale 3D imaging with tissue clearing techniques. Microscopy. 2025 Jun 26;74(3):179-88.
https://doi.org/10.1093/jmicro/dfae046
16 Xu X, Su J, Zhu R, Li K, Zhao X, Fan J, Mao F. From morphology to single-cell molecules: high-resolution 3D histology in biomedicine. Molecular Cancer. 2025 Mar 3;24(1):63.
https://doi.org/10.1186/s12943-025-02240-x
17 Iber D. The control of lung branching morphogenesis. Current Topics in Developmental Biology. 2021 Jan 1;143:205-37.
https://doi.org/10.1016/bs.ctdb.2021.02.002
18 Feng T, Cao J, Ma X, Wang X, Guo X, Yan N, Fan C, Bao S, Fan J. Animal models of chronic obstructive pulmonary disease: A systematic review. Frontiers in Medicine. 2024 Oct 24;11:1474870.
https://doi.org/10.3389/fmed.2024.1474870
19 Ochs M, Schipke J. A short primer on lung stereology. Respiratory Research. 2021 Nov 27;22(1):305.
https://doi.org/10.1186/s12931-021-01899-2
20 Brenna C, Simioni C, Varano G, Conti I, Costanzi E, Melloni M, Neri LM. Optical tissue clearing associated with 3D imaging: application in preclinical and clinical studies. Histochemistry and Cell Biology. 2022 May;157(5):497-511.
https://doi.org/10.1007/s00418-022-02081-5
21 Burri PH. Structural aspects of prenatal and postnatal development and growth of the lung. InLung growth and development 2024 Nov 1 (pp. 1-36). CRC Press.
https://doi.org/10.1201/9781003574026-1
22 Markel M, Ginzel M, Peukert N, Schneider H, Haak R, Mayer S, Suttkus A, Lacher M, Kluth D, Gosemann JH. High resolution three‐dimensional imaging and measurement of lung, heart, liver, and diaphragmatic development in the fetal rat based on micro‐computed tomography (micro‐CT). Journal of Anatomy. 2021 Apr;238(4):1042-54.
https://doi.org/10.1111/joa.13355
23 Ng WH, Johnston EK, Tan JJ, Bliley JM, Feinberg AW, Stolz DB, Sun M, Wijesekara P, Hawkins F, Kotton DN, Ren X. Recapitulating human cardio-pulmonary co-development using simultaneous multilineage differentiation of pluripotent stem cells. Elife. 2022 Jan 12;11:e67872.
https://doi.org/10.7554/eLife.67872
24 Addis DR, Lambert JA, Ren C, Doran S, Aggarwal S, Jilling T, Matalon S. Vascular Endothelial Growth Factor‐121 Administration Mitigates Halogen Inhalation‐Induced Pulmonary Injury and Fetal Growth Restriction in Pregnant Mice. Journal of the American Heart Association. 2020 Feb 4;9(3):e013238.
https://doi.org/10.1161/JAHA.119.013238
25 Myint MZ, Jia J, Adlat S, Oo ZM, Htoo H, Hayel F, Chen Y, Bah FB, Sah RK, Bahadar N, Chan MK. Effect of low VEGF on lung development and function. Transgenic Research. 2021 Feb;30(1):35-50.
https://doi.org/10.1007/s11248-020-00223-w
26 Aydin E, Levy B, Oria M, Nachabe H, Lim FY, Peiro JL. Optimization of pulmonary vasculature tridimensional phenotyping in the rat fetus. Scientific Reports. 2019 Feb 4;9(1):1244.
https://doi.org/10.1038/s41598-018-37906-8
27 Chao CM, Moiseenko A, Kosanovic D, Rivetti S, El Agha E, Wilhelm J, Kampschulte M, Yahya F, Ehrhardt H, Zimmer KP, Barreto G. Impact of Fgf10 deficiency on pulmonary vasculature formation in a mouse model of bronchopulmonary dysplasia. Human molecular genetics. 2019 May 1;28(9):1429-44.
https://doi.org/10.1093/hmg/ddy439
28 Warburton D. Conserved Mechanisms in the Formation of the Airways and Alveoli of the Lung. Frontiers in Cell and Developmental Biology. 2021 Jun 15;9:662059.
https://doi.org/10.3389/fcell.2021.662059
29 Lecarpentier Y, Gourrier E, Gobert V, Vallée A. Bronchopulmonary dysplasia: Crosstalk between PPARγ, WNT/β-Catenin and TGF-β pathways; the potential therapeutic role of PPARγ agonists. Frontiers in pediatrics. 2019 May 3;7:176.
https://doi.org/10.3389/fped.2019.00176
30 Kiyokawa H, Morimoto M. Notch signaling in the mammalian respiratory system, specifically the trachea and lungs, in development, homeostasis, regeneration, and disease. Development, Growth & Differentiation. 2020 Jan;62(1):67-79.
https://doi.org/10.1111/dgd.12628
31 Zepp JA, Morrisey EE. Cellular crosstalk in the development and regeneration of the respiratory system. Nature reviews Molecular cell biology. 2019 Sep;20(9):551-66.
https://doi.org/10.1038/s41580-019-0141-3
32 Song L, Li K, Chen H, Xie L. Cell cross-talk in alveolar microenvironment: from lung injury to fibrosis. American Journal of Respiratory Cell and Molecular Biology. 2024 Jul;71(1):30-42.
https://doi.org/10.1165/rcmb.2023-0426TR
33 Stoilova T, Ruhrberg C. Lung blood and lymphatic vascular development. Lung Stem Cells in Development, Health and Disease (ERS Monograph). Sheffield, European Respiratory Society. 2021 Apr 1:31-43.
https://doi.org/10.1183/2312508X.10008920
34 Kina YP, Khadim A, Seeger W, El Agha E. The lung vasculature: a driver or passenger in lung branching morphogenesis?. Frontiers in Cell and Developmental Biology. 2021 Jan 14;8:623868.
https://doi.org/10.3389/fcell.2020.623868
35 Shannon JM, Deterding RR. Epithelial-mesenchymal interactions in lung development. InLung growth and development 2024 Nov 1 (pp. 81-118). CRC Press.
https://doi.org/10.1201/9781003574026-4
36 Sutlive J, Xiu H, Chen Y, Gou K, Xiong F, Guo M, Chen Z. Generation, transmission, and regulation of mechanical forces in embryonic morphogenesis. Small. 2022 Feb;18(6):2103466.
https://doi.org/10.1002/smll.202103466
37 Ito JT, Lourenço JD, Righetti RF, Tibério IF, Prado CM, Lopes FD. Extracellular matrix component remodeling in respiratory diseases: what has been found in clinical and experimental studies?. Cells. 2019 Apr 11;8(4):342.
https://doi.org/10.3390/cells8040342
38 Plosa EJ, Benjamin JT, Sucre JM, Gulleman PM, Gleaves LA, Han W, Kook S, Polosukhin VV, Haake SM, Guttentag SH, Young LR. β1 Integrin regulates adult lung alveolar epithelial cell inflammation. JCI insight. 2020 Jan 30;5(2):e129259.
https://doi.org/10.1172/jci.insight.129259
39 Roman J. Cell-cell and cell-matrix interactions in development of the lung vasculature. InLung growth and development 2024 Nov 1 (pp. 365-400). CRC Press.
https://doi.org/10.1201/9781003574026-13
40 Crouch EC, Mecham RP, Davila RM, Noguchi A. Collagens and elastic fiber proteins in lung development. InLung growth and development 2024 Nov 1 (pp. 327-364). CRC Press.
https://doi.org/10.1201/9781003574026-12
41 Tongpob Y, Xia S, Wyrwoll C, Mehnert A. Quantitative characterization of rodent feto-placental vasculature morphology in micro-computed tomography images. Computer Methods and Programs in Biomedicine. 2019 Oct 1;179:104984.
https://doi.org/10.1016/j.cmpb.2019.104984
42 Zakaria DM, Zahran NM, Arafa SA, Mehanna RA, Abdel-Moneim RA. Histological and physiological studies of the effect of bone marrow-derived mesenchymal stem cells on bleomycin induced lung fibrosis in adult albino rats. Tissue engineering and regenerative medicine. 2021 Feb;18(1):12741.
https://doi.org/10.1007/s13770-020-00294-0
43 Debiane L, Reitzel R, Rosenblatt J, Gagea M, Chavez MA, Adachi R, Grosu HB, Sheshadri A, Hill LR, Raad I, Ost DE. A design-based stereologic method to quantify the tissue changes associated with a novel drug-eluting tracheobronchial stent. Respiration. 2019 Jul 15;98(1):60-9.
https://doi.org/10.1159/000496152
44 Knudsen L, Brandenberger C, Ochs M. Stereology as the 3D tool to quantitate lung architecture. Histochemistry and Cell Biology. 2021 Feb;155(2):163-81.
https://doi.org/10.1007/s00418-020-01927-0
45 Sarabia-Vallejos MA, Ayala-Jeria P, Hurtado DE. Three-dimensional whole-organ characterization of the regional alveolar morphology in normal murine lungs. Frontiers in Physiology. 2021 Dec 8;12:755468.
https://doi.org/10.3389/fphys.2021.755468
46 Vasilescu DM, Phillion AB, Kinose D, Verleden SE, Vanaudenaerde BM, Verleden GM, Van Raemdonck D, Stevenson CS, Hague CJ, Han MK, Cooper JD. Comprehensive stereological assessment of the human lung using multiresolution computed tomography. Journal of Applied Physiology. 2020 Jun 1;128(6):1604-16.
https://doi.org/10.1152/japplphysiol.00803.2019
47 Hussain S, Mubeen I, Ullah N, Shah SS, Khan BA, Zahoor M, Ullah R, Khan FA, Sultan MA. Modern diagnostic imaging technique applications and risk factors in the medical field: a review. BioMed research international. 2022;2022(1):5164970.
https://doi.org/10.1155/2022/5164970
48 Deng Y, Rowe KJ, Chaudhary KR, Yang A, Mei SH, Stewart DJ. Optimizing imaging of the rat pulmonary microvasculature by micro-computed tomography. Pulmonary circulation. 2019 Oct;9(4):2045894019883613.
https://doi.org/10.1177/2045894019883613
49 Nicolas N, Dinet V, Roux E. 3D imaging and morphometric descriptors of vascular networks on optically cleared organs. IScience. 2023 Oct 20;26(10).
https://doi.org/10.1016/j.isci.2023.108007
50 Wu YC, Moon HG, Bindokas VP, Phillips EH, Park GY, Lee SS. Multiresolution 3D optical mapping of immune cell infiltrates in mouse asthmatic lung. American Journal of Respiratory Cell and Molecular Biology. 2023 Jul;69(1):13-21.
https://doi.org/10.1165/rcmb.2022-0353MA
51 Bucharskaya AB, Yanina IY, Atsigeida SV, Genin VD, Lazareva EN, Navolokin NA, Dyachenko PA, Tuchina DK, Tuchina ES, Genina EA, Kistenev YV. Optical clearing and testing of lung tissue using inhalation aerosols: prospects for monitoring the action of viral infections. Biophysical Reviews. 2022 Aug;14(4):1005-22.
https://doi.org/10.1007/s12551-022-00991-1
52 Tielemans B, Marain NF, Kerstens A, Peredo N, Coll‐Lladó M, Gritti N, de Villemagne P, Dorval P, Geudens V, Orlitová M, Munck S. Multiscale Three‐Dimensional Evaluation and Analysis of Murine Lung Vasculature From Macro‐to Micro‐Structural Level. Pulmonary Circulation. 2025 Jan;15(1):e70038.
https://doi.org/10.1002/pul2.70038
53 Borisova E, Lovric G, Miettinen A, Fardin L, Bayat S, Larsson A, Stampanoni M, Schittny JC, Schlepütz CM. Micrometer-resolution X-ray tomographic full-volume reconstruction of an intact post-mortem juvenile rat lung. Histochemistry and cell biology. 2021 Feb;155(2):215-26.
https://doi.org/10.1007/s00418-020-01868-8
54 Badrou A, Mariano CA, Ramirez GO, Shankel M, Rebelo N, Eskandari M. Towards constructing a generalized structural 3D breathing human lung model based on experimental volumes, pressures, and strains. PLoS computational biology. 2025 Jan 13;21(1):e1012680.
https://doi.org/10.1371/journal.pcbi.1012680
55 Ying X, Barlow NJ, Tatiparthi A. Micro-CT and volumetric imaging in developmental toxicology. InReproductive and developmental toxicology 2022 Jan 1 (pp. 1261-1285). Academic Press.
https://doi.org/10.1016/B978-0-323-89773-0.00063-1
56 Liang GB, He ZH. Animal models of emphysema. Chinese medical journal. 2019 Oct 20;132(20):2465-75.
https://doi.org/10.1097/CM9.0000000000000469
57 Young AL, Bragman FJ, Rangelov B, Han MK, Galbán CJ, Lynch DA, Hawkes DJ, Alexander DC, Hurst JR. Disease progression modeling in chronic obstructive pulmonary disease. American journal of respiratory and critical care medicine. 2020 Feb 1;201(3):294-302.
58 Yang Y, Di T, Zhang Z, Liu J, Fu C, Wu Y, Bian T. Dynamic evolution of emphysema and airway remodeling in two mouse models of COPD. BMC Pulmonary Medicine. 2021 Apr 26;21(1):134.
https://doi.org/10.1186/s12890-021-01456-z
59 Greco F, Wiegert S, Baumann P, Wellmann S, Pellegrini G, Cannizzaro V. Hyperoxia-induced lung structure-function relation, vessel rarefaction, and cardiac hypertrophy in an infant rat model. Journal of translational medicine. 2019 Mar 18;17(1):91.
https://doi.org/10.1186/s12967-019-1843-1
60 Ma Z, Tong S, Huang Y, Wang N, Chen G, Bai Q, Deng J, Zhou L, Luo Q, Wang J, Lu W. Development and Characterization of a Novel Rat Model for Emulating Chronic Obstructive Pulmonary Disease-Associated Cor Pulmonale. The American Journal of Pathology. 2025 May 1;195(5):831-44.
https://doi.org/10.1016/j.ajpath.2025.01.003
61 Upadhyay P, Wu CW, Pham A, Zeki AA, Royer CM, Kodavanti UP, Takeuchi M, Bayram H, Pinkerton KE. Animal models and mechanisms of tobacco smoke-induced chronic obstructive pulmonary disease (COPD). Journal of Toxicology and Environmental Health, Part B. 2023 Jul 4;26(5):275-305.
https://doi.org/10.1080/10937404.2023.2208886
62 Jia Z, Wang S, Yan H, Cao Y, Zhang X, Wang L, Zhang Z, Lin S, Wang X, Mao J. Pulmonary vascular remodeling in pulmonary hypertension. Journal of Personalized Medicine. 2023 Feb 19;13(2):366.
https://doi.org/10.3390/jpm13020366
63 Zhao J, Yang M, Wu X, Yang Z, Jia P, Sun Y, Li G, Xie L, Liu B, Liu H. Effects of paclitaxel intervention on pulmonary vascular remodeling in rats with pulmonary hypertension. Experimental and therapeutic medicine. 2019 Feb 1;17(2):1163-70.
64 Jayasekera G, Wilson KS, Buist H, Woodward R, Uckan A, Hughes C, Nilsen M, Church AC, Johnson MK, Gallagher L, Mullin J. Understanding longitudinal biventricular structural and functional changes in a pulmonary hypertension Sugen-hypoxia rat model by cardiac magnetic resonance imaging. Pulmonary Circulation. 2020 Jan;10(1):2045894019897513.
https://doi.org/10.1177/2045894019897513
65 Bogaard HJ, Legchenko E, Chaudhary KR, Sun XQ, Stewart DJ, Hansmann G. Emphysema Is-at the Most-Only a Mild Phenotype in the Sugen/Hypoxia Rat Model of Pulmonary Arterial Hypertension. American Journal of Respiratory and Critical Care Medicine. 2019 Dec 1;200(11):1447-50.
https://doi.org/10.1164/rccm.201906-1200LE
66 Périz M, Pérez-Cano FJ, Rodríguez-Lagunas MJ, Cambras T, Pastor-Soplin S, Best I, Castell M, Massot-Cladera M. Development and characterization of an allergic asthma rat model for interventional studies. International Journal of Molecular Sciences. 2020 May 28;21(11):3841.
https://doi.org/10.3390/ijms21113841
67 Savin IA, Zenkova MA, Sen'kova AV. Bronchial asthma, airway remodeling and lung fibrosis as successive steps of one process. International journal of molecular sciences. 2023 Nov 7;24(22):16042.
https://doi.org/10.3390/ijms242216042
68 Dos Santos TM, Righetti RF, Rezende BG, Campos EC, Camargo LD, Saraiva-Romanholo BM, Fukuzaki S, Prado CM, Leick EA, Martins MA, Tibério IF. Effect of anti-IL17 and/or Rho-kinase inhibitor treatments on vascular remodeling induced by chronic allergic pulmonary inflammation. Therapeutic Advances in Respiratory Disease. 2020 Dec;14:1753466620962665.
https://doi.org/10.1177/1753466620962665
69 Hall RD, Le TM, Haggstrom DE, Gentzler RD. Angiogenesis inhibition as a therapeutic strategy in non-small cell lung cancer (NSCLC). Translational lung cancer research. 2015 Oct;4(5):515.
70 Laskin DL, Malaviya R, Laskin JD. Role of macrophages in acute lung injury and chronic fibrosis induced by pulmonary toxicants. Toxicological Sciences. 2019 Apr 1;168(2):287-301.
https://doi.org/10.1093/toxsci/kfy309
71 Song LC, Chen XX, Meng JG, Hu M, Huan JB, Wu J, Xiao K, Han ZH, Xie LX. Effects of different corticosteroid doses and durations on smoke inhalation-induced acute lung injury and pulmonary fibrosis in the rat. International immunopharmacology. 2019 Jun 1;71:392-403.
https://doi.org/10.1016/j.intimp.2019.03.051
72 Fragni D. Identification of novel readouts to assess anti-fibrotic efficacy of new compounds in a bleomycin-induced pulmonary fibrosis mouse model.
73 Kassab AA, Aboregela AM, Shalaby AM. Edaravone attenuates lung injury in a hind limb ischemia-reperfusion rat model: a histological, immunohistochemical and biochemical study. Annals of Anatomy-Anatomischer Anzeiger. 2020 Mar 1;228:151433.
https://doi.org/10.1016/j.aanat.2019.151433
74 Zaghloul MS, Said E, Suddek GM, Salem HA. Crocin attenuates lung inflammation and pulmonary vascular dysfunction in a rat model of bleomycin-induced pulmonary fibrosis. Life sciences. 2019 Oct 15;235:116794.
https://doi.org/10.1016/j.lfs.2019.116794
75 Albanawany NM, Samy DM, Zahran N, El-Moslemany RM, Elsawy SM, Abou Nazel MW. Histopathological, physiological and biochemical assessment of resveratrol nanocapsules efficacy in bleomycin-induced acute and chronic lung injury in rats. Drug Delivery. 2022 Dec 31;29(1):2592-608.
https://doi.org/10.1080/10717544.2022.2105445
76 Akil A, Gutiérrez-García AK, Guenter R, Rose JB, Beck AW, Chen H, Ren B. Notch signaling in vascular endothelial cells, angiogenesis, and tumor progression: an update and prospective. Frontiers in cell and developmental biology. 2021 Feb 16;9:642352.
https://doi.org/10.3389/fcell.2021.642352
77 Zhang L, Tian Y, Zhao P, Jin F, Miao Y, Liu Y, Li J. Electroacupuncture attenuates pulmonary vascular remodeling in a rat model of chronic obstructive pulmonary disease via the VEGF/PI3K/Akt pathway. Acupuncture in Medicine. 2022 Aug;40(4):389-400.
https://doi.org/10.1177/09645284221078873
78 Liu P, Gu Y, Luo J, Ye P, Zheng Y, Yu W, Chen S. Inhibition of Src activation reverses pulmonary vascular remodeling in experimental pulmonary arterial hypertension via Akt/mTOR/HIF-1< alpha> signaling pathway. Experimental cell research. 2019 Jul 1;380(1):36-46.
https://doi.org/10.1016/j.yexcr.2019.02.022
79 Bishop D, Schwarz Q, Wiszniak S. Endothelial-derived angiocrine factors as instructors of embryonic development. Frontiers in Cell and Developmental Biology. 2023 Jun 29;11:1172114.
https://doi.org/10.3389/fcell.2023.1172114
80 Vallee A, Lecarpentier Y, Vallee JN. Interplay of opposing effects of the WNT/β-Catenin pathway and PPARγ and implications for SARS-CoV2 treatment. Frontiers in immunology. 2021 Apr 13;12:666693.
https://doi.org/10.3389/fimmu.2021.666693
81 Yan T, Shi J. Angiogenesis and EMT regulators in the tumor microenvironment in lung cancer and immunotherapy. Frontiers in Immunology. 2024 Dec 16;15:1509195.
https://doi.org/10.3389/fimmu.2024.1509195
82 Kura B, Szeiffova Bacova B, Kalocayova B, Sykora M, Slezak J. Oxidative stress-responsive microRNAs in heart injury. International Journal of Molecular Sciences. 2020 Jan 5;21(1):358.
https://doi.org/10.3390/ijms21010358
83 Mikhael M, Makar C, Wissa A, Le T, Eghbali M, Umar S. Oxidative stress and its implications in the right ventricular remodeling secondary to pulmonary hypertension. Frontiers in Physiology. 2019 Sep 24;10:1233.
https://doi.org/10.3389/fphys.2019.01233
84 Liu WY, Wang L, Lai YF. Hepcidin protects pulmonary artery hypertension in rats by activating NF-κB/TNF-α pathway. Eur Rev Med Pharmacol Sci. 2019 Jan 1;23(17):7573-81.
85 Li Y, Ren W, Wang X, Yu X, Cui L, Li X, Zhang X, Shi B. MicroRNA-150 relieves vascular remodeling and fibrosis in hypoxia-induced pulmonary hypertension. Biomedicine & Pharmacotherapy. 2019 Jan 1;109:1740-9.
https://doi.org/10.1016/j.biopha.2018.11.058
86 Ji X, Yue H, Ku T, Zhang Y, Yun Y, Li G, Sang N. Histone modification in the lung injury and recovery of mice in response to PM2 5 exposure. Chemosphere. 2019 Apr 1;220:127-36.
https://doi.org/10.1016/j.chemosphere.2018.12.079
87 Wołowiec Ł, Mędlewska M, Osiak J, Wołowiec A, Grześk E, Jaśniak A, Grześk G. MicroRNA and lncRNA as the future of pulmonary arterial hypertension treatment. International journal of molecular sciences. 2023 Jun 4;24(11):9735.
https://doi.org/10.3390/ijms24119735
88 Vachrushev NS, Shilenko LA, Karpov AA, Ivkin DY, Galagudza MM, Kostareva AA, Kalinina OV. Differential Gene Expression in the Lungs of Rats with Experimental Chronic Thromboembolic Pulmonary Hypertension. Journal of Evolutionary Biochemistry and Physiology. 2025 Jul;61(4):1025-38.
https://doi.org/10.1134/S0022093025040076
89 Mathison M, Sanagasetti D, Singh VP, Pugazenthi A, Pinnamaneni JP, Ryan CT, Yang J, Rosengart TK. Fibroblast transition to an endothelial "trans" state improves cell reprogramming efficiency. Scientific Reports. 2021 Nov 19;11(1):22605.
https://doi.org/10.1038/s41598-021-02056-x
90 Avci E, Sarvari P, Savai R, Seeger W, Pullamsetti SS. Epigenetic mechanisms in parenchymal lung diseases: bystanders or therapeutic targets?. International Journal of Molecular Sciences. 2022 Jan 4;23(1):546.
https://doi.org/10.3390/ijms23010546
91 Hong J, Arneson D, Umar S, Ruffenach G, Cunningham CM, Ahn IS, Diamante G, Bhetraratana M, Park JF, Said E, Huynh C. Single-cell study of two rat models of pulmonary arterial hypertension reveals connections to human pathobiology and drug repositioning. American journal of respiratory and critical care medicine. 2021 Apr 15;203(8):1006-22.
https://doi.org/10.1164/rccm.202006-2169OC
92 Hayati H, Feng Y, Hinsdale M. Inter-species variabilities of droplet transport, size change, and deposition in human and rat respiratory systems: An in silico study. Journal of aerosol science. 2021 May 1;154:105761.
https://doi.org/10.1016/j.jaerosci.2021.105761
93 Corley RA, Kuprat AP, Suffield SR, Kabilan S, Hinderliter PM, Yugulis K, Ramanarayanan TS. New approach methodology for assessing inhalation risks of a contact respiratory cytotoxicant: Computational fluid dynamics-based aerosol dosimetry modeling for cross-species and in vitro comparisons. Toxicological Sciences. 2021 Aug 1;182(2):243-59.
https://doi.org/10.1093/toxsci/kfab062
94 Yilmaz Y, Williams G, Walles M, Manevski N, Krähenbühl S, Camenisch G. Comparison of rat and human pulmonary metabolism using precision-cut lung slices (PCLS). Drug metabolism letters. 2019 Apr 1;13(1):53-63.
https://doi.org/10.2174/1872312812666181022114622
95 Boucherat O, Agrawal V, Lawrie A, Bonnet S. The latest in animal models of pulmonary hypertension and right ventricular failure. Circulation Research. 2022 Apr 29;130(9):1466-86.
https://doi.org/10.1161/CIRCRESAHA.121.319971
96 Hayati H, Feng Y. A precise scale-up method to predict particle delivered dose in a human respiratory system using rat deposition data: An in silico study. InFrontiers in Biomedical Devices 2020 Apr 6 (Vol. 83549, p. V001T07A005). American Society of Mechanical Engineers.
https://doi.org/10.1115/DMD2020-9060
97 Persson IM, Bozovic G, Westergren-Thorsson G, Enes SR. Spatial lung imaging in clinical and translational settings. Breathe. 2024 Oct 1;20(3).
https://doi.org/10.1183/20734735.0224-2023
98 Nizamoglu M, Joglekar MM, Almeida CR, Callerfelt AK, Dupin I, Guenat OT, Henrot P, Van Os L, Otero J, Elowsson L, Farre R. Innovative three-dimensional models for understanding mechanisms underlying lung diseases: powerful tools for translational research. European Respiratory Review. 2023 Jul 26;32(169).
https://doi.org/10.1183/16000617.0042-2023
99 Mahmutovic Persson I, Falk Håkansson H, Örbom A, Liu J, von Wachenfeldt K, Olsson LE. Imaging biomarkers and pathobiological profiling in a rat model of drug-induced interstitial lung disease induced by bleomycin. Frontiers in Physiology. 2020 Jun 19;11:584.
https://doi.org/10.3389/fphys.2020.00584
100 Umeda Y, Izawa T, Kazama K, Arai S, Kamiie J, Nakamura S, Hano K, Takasu M, Hirata A, Rittinghausen S, Yamano S. Comparative anatomy of respiratory bronchioles and lobular structures in mammals. Journal of Toxicologic Pathology. 2025;38(2):113-29.
https://doi.org/10.1293/tox.2024-0071
101 Gui B, Wang Q, Wang J, Li X, Wu Q, Chen H. Cross-species comparison of airway epithelium transcriptomics. Heliyon. 2024 Oct 15;10(19).
https://doi.org/10.1016/j.heliyon.2024.e38259
102 Pennitz P, Kirsten H, Friedrich VD, Wyler E, Goekeri C, Obermayer B, Heinz GA, Mashreghi MF, Büttner M, Trimpert J, Landthaler M. A pulmonologist's guide to perform and analyse cross-species single lung cell transcriptomics. European Respiratory Review. 2022 Jul 27;31(165).
https://doi.org/10.1183/16000617.0056-2022
103 Bauer C, Krueger M, Lamm WJ, Glenny RW, Beichel RR. lapdMouse: associating lung anatomy with local particle deposition in mice. Journal of Applied Physiology. 2020 Feb 1;128(2):309-23.
https://doi.org/10.1152/japplphysiol.00615.2019
104 Raredon MS, Adams TS, Suhail Y, Schupp JC, Poli S, Neumark N, Leiby KL, Greaney AM, Yuan Y, Horien C, Linderman G. Single-cell connectomic analysis of adult mammalian lungs. Science advances. 2019 Dec 4;5(12):eaaw3851.
https://doi.org/10.1126/sciadv.aaw3851
105 Shang Y. Numerical modelling of inhaled particle transport and deposition in human and rat nasal cavities (Doctoral dissertation, RMIT University).
106 Xie K, Ren B, Peng Y, Wang F, Zhang X, Wang J, Shu Q. Hypoxia-Primed Human Umbilical Cord Mesenchymal Stem Cells Ameliorate Synovial Inflammation and Pulmonary Fibrosis via JNK/JAK-STAT3 Pathways in RA and RA-ILD. JAK-STAT3 Pathways in RA and RA-ILD.
107 Aerts G, Willems L, Anthonissen R, De Jonghe B, Michiels J, Celen R, Verhaegen J, Vermaut A, Geudens V, Hooft C, Kerckhof P. Micro-CT Based Approach to Quantitatively Evaluate Vascular Changes in Pulmonary Arterial Hypertension. The Journal of Heart and Lung Transplantation. 2024 Apr 1;43(4):S114.
https://doi.org/10.1016/j.healun.2024.02.227
108 Neelakantan S, Xin Y, Gaver DP, Cereda M, Rizi R, Smith BJ, Avazmohammadi R. Computational lung modelling in respiratory medicine. Journal of The Royal Society Interface. 2022 Jun 8;19(191):20220062.
https://doi.org/10.1098/rsif.2022.0062
109 Sisodia Y, Shah K, Sayyed AA, Jain M, Ali SA, Gondaliya P, Kalia K, Tekade RK. Lung-on-chip microdevices to foster pulmonary drug discovery. Biomaterials Science. 2023 Jan 31;11(3):777-90.
https://doi.org/10.1039/D2BM00951J
110 Fawaz A, Ferraresi A, Isidoro C. Systems biology in cancer diagnosis integrating omics technologies and artificial intelligence to support physician decision making. Journal of Personalized Medicine. 2023 Nov 10;13(11):1590.
https://doi.org/10.3390/jpm13111590